
by Luke Kahng, CDT
In spite of the CAD/CAM technology which we have all been successfully
using (labs and dentists alike), there are certain technical aspects we still cannot
accomplish with complete satisfaction, for reasons like the positioning of
implants, patient bone level and our implant supply company's limitations. This
means that we, as technicians, sometimes have to rely on our own hands to create
an aesthetic appearance.
For total beauty in a restoration it is sometimes necessary to use pink porcelain
in order to mimic the specific tissue color. Tooth color can vary drastically due to
distinguishing features such as patient sex and race. Even denture teeth tissue color
will not provide a perfect cosmetic gum line. There are a multitude of possible
shading combinations, including:
- Light pink with clear color
- Dark rose – clear mixture
- Red with subtle clear tone
- Brownish pink
- Light coral
- Dark pink with enamel
- Dark red overlay with enamel – pink characterization
In order to match color with this large number of possibilities, excellent porcelain
products and communication tools are a must.
This article's study involves a three-unit titanium implant bridge in which the
lab was able to closely match the color and shape of the patient's teeth. However,
she was not satisfied with her grayish gum line when the case was finished. The final
aesthetics needed improvement in that area which is what our discussion will
revolve around.
Case Study
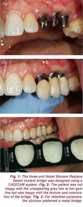
Figure 1 is a view of the Nobel Biocare Replace Select titanium implants with
CAD/CAM design before placement of the bridge. Figure 2 provides a glimpse of
the problem the patient encountered with her case. Upon examination of the fit of
the bridge, she noted an unappealing gray gum line due to bone loss. While the
porcelain texture and colorization is an excellent match, the gum area was not
acceptable to the patient because it did not look natural or aesthetically pleasing.
The clinician preferred a metal bridge because of retention and the porcelain
enamel color provided a good match with the patient's natural teeth (Fig. 3).
The next step was to achieve tissue color match in order to hide the gray line at
the gingiva.
Using the Chairside Shade Guide (LSK121 Oral Prosthetics), the author noted
that STC 3 (Soft Tissue Color 3) provided a decent match with the patient's tissue
color (Fig. 4), as did STC 5. Three GC Initial Zr Gum color shade tabs were
also a close match (Fig. 6). GM-23 is base light and can be used to regulate the
final color. GM-24 is base dark for application to the bottom first layer and GM-
36 is called intensive red for intensification of the area between the tooth and
roots. The three tabs in (Fig. 7) were also used for another gum color check to
ensure a near perfect match.
Nine standard shade tabs do not necessarily tell the whole story when it comes
to this patient's color (Fig. 8). For appropriate cervical tissue line matching, the
author drew a pencil line on the teeth (Fig. 9). By mixing 50 percent GC Initial
GM-24 and 50 percent GM-36 together, (Fig. 10) the author was able to achieve a
close match to be applied as a first body build-up. After the first body build-up, he
applied the 50-50 mix to the restorations (Fig. 11) and GC Initial CLF clear fluorescence
on top of that (Fig. 12). A 0.5mm application of GC Initial CLF (Fig. 13) completed the process. Figure 14 is a view of the significant bone loss the author
covered with pink porcelain. The gum line before the restorations were completed is
in figure 15. This particular area's gum line was noticeably different than that of
teeth #7 and #8, but the color was effectively imitated using gingival tissue-colored
porcelain. Figure 16 is the UCLA abutment in the mouth. Immediately after insertion
of the restorations, the tissue color and response appeared to be very good (Fig.
17). There is sufficient coverage of the gray line and the transition from tissue to
bridge is smooth. The patient's complaint had been appropriately resolved.


Figs. 4 & 5: The Chairside Shade Guide soft tissue color numbers 3 and 5 were
a good match. Fig. 6: Three GC gum colors were a decent match with the soft tissue color, as well. Fig. 7: Another adjacent teeth gum color check was performed. Fig. 8: Natural tooth color is not adequately described with regular shade tabs. Fig. 9: A pencil line was drawn for appropriate cervical line matching. Fig. 10: For initial build-up, the author mixed GC Initial GM-24 and GM-36. Fig. 11: After the first build-up, the 50-50 mix was applied. Fig. 12: On top of that, an application of CLF was next. Fig. 13: 0.5mm application of CLF produced an aesthetic result. Fig. 14: The patient suffered from significant bone loss effectively masked with
pink porcelain.
Doctor/Technician Viewpoint
Obviously, a doctor's viewpoint and that of a technician might be different when
it comes to fabricating a case, even if the end result is the same. It follows that, logically,
there will be plenty of times when it's not necessary to use pink porcelain. It
depends on the patient and the situation. But when treatment planning, everything
must be evaluated in order to get a better color match. Not only is it our responsibility
to order correct implant parts, abutment milling and frame design, but we
must also consider how the restoration will blend in the patient's mouth. The better
the match, the more the patient will like the results because the color and harmony
will physically intermingle with her natural dentition.
The demand for aesthetic implant-supported superstructures has been growing
continuously. This has logically led to a growing desire among dental technicians for
soft tissue zones made of ceramic that can be individually characterized. Enabling
technicians to create a life-like transition from the crown margin to the gingiva, the
new gingival-colored materials are specially suited to indications in the areas of
implant superstructures, crown and bridgework techniques.
There are several possible materials on the market to help match color and create
excellent tissue likeness. For our case study, the author found GC Initial Zr gum
shade color to be a unique material, working well with all metal, ceramic, composite
and zirconium resources. The sheer variety of tissue color choices means better results
because no two patients' gum color will ever be a perfect match with each other.
The patient in our case study was much happier with her final outcome after the
tissue line was improved. She could smile again with confidence knowing that the
gray margin she disliked was effectively masked.
Cases courtesy of Dr. Charles Greenebaum, Flossmoor, Illinois and Dr. William Brandenburg, Lilburn, Georgia.
|
| Author’s Bio |
Luke S. Kahng, CDT, is the owner
of LSK121 Oral Prosthetics, a
dental laboratory in Naperville,
Illinois. In addition to being a
board member for several dental
publications, he has also published more than
60 articles with major dental journals and lectures
internationally, offering hands-on seminars
to dental technicians and clinicians alike.
He is the author of three books, including
Anatomy from Nature, the Esthetic Guide Book
and Smile Selection + CS³ Clinical Cases. For
more information, visit www.lsk121.com. |
| |
|