This patient was referred to our Langley Endodontics office earlier this year for evaluation, diagnosis, and treatment as needed, for tooth #11.

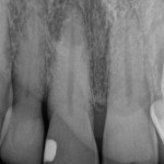
Periapical Image of Tooth #11
The patient was asymptomatic at the time of their visit to their dentist for routine maintenance. A history of trauma to the maxillary central incisors with some minor chipping of the incisal edges prompted the dentist to test the teeth and take a periapical radiograph.
These teeth tested normal to percussion, palpation, probing, and mobility and were normal to thermal challenge. Radiographically, there appeared to be a periapical radiolucency at the apex of tooth #11 and some early coronal calcification of the pulp chamber. The contradictory signs of periapical radiolucency and normal response to thermal challenge prompted this astute dentist to refer the patient for further evaluation to our office.
During our examination process, the patient’s teeth #11 and #21 were indeed normal for percussion, palpation, probing, mobility, and response to cold challenge. The thermal challenge response was confirmed with a positive EPT (electronic pulp test). These teeth were somewhat darkened visually when compared with adjacent teeth.
Radiographic imaging consisted of periapical images and a small volume CBCT. The periapical image, seen above, did appear to have a periapical radiolucency. There was also calcification and pulpal recession in the upper part of the pulp chamber, the likely cause of the mild tooth darkening, something often seen with trauma and pulpal death.

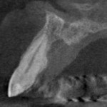
The lateral images taken with the Kodak 9000 CBCT showed a different story however. All the 0.076 mm sections showed a normal periodontal ligament space surrounding tooth #11 (and tooth #21). There was however a slightly enlarged incisive canal situated palatally, directly behind the root of tooth #11. The two-dimensional image overlayed the root on the incisive canal and gave the appearance of a periapical radiolucency usually seen with chronic apical periodontitis.
Combining the patient’s history with clinical tests and appropriate imaging led us to a normal pulpal and periapical diagnosis for tooth #11 (and #21). No treatment was required for tooth #11 in this case. There is a possibility that the somewhat enlarged incisive canal was a nacient nasoplanatine duct cyst.

CBCT #2
Enlarged incisive canals, also known as nasopalantine duct cysts (NPDC), are developmental, epithelial, non-neoplastic cysts. They are the most common non-odontogenic cysts in the mouth (33-72% of non-odontogenic lesions). NPDC are believed to occur during secondary palate formation at between 8 and 12 weeks of intrauterine life.
Due to the small size of the incisive canal and absence of symptoms the decision was made to monitor the area with annual images to determine any changes which may occur. Further enlargement of the area may indicate a need for removal of the lesion.
This case illustrates why a complete evaluation is critical to delivering optimal treatment for our patients. Signs and symptoms, clinical testing, and appropriate radiographic imaging must all corroborate each other. When these are in alignment, the diagnosis and treatment plan becomes clear and achievable.
About the Author, Dr. Howard Bittner, DMD, CAGS
Dr. Bittner was born and raised in the Surrey / Langley area. Following his pre-dental training at Simon Fraser University, he received his Doctor of Dental Medicine from the University of British Columbia in 1982 and his Certificate in Advanced Graduate Studies in Endodontics from Boston University’s Goldman School of Dental Medicine in 1995.
Dr. Bittner was in private practice in general dentistry for 11 years in Langley before his Endodontic specialty training. He has been practicing Endodontics since 1995.
In his free time, Dr. Bittner loves to participate in a variety of sports including most recent, golfing! He also enjoys being a grandfather to 4, which if you ask him is just the best!