New to our newsletters this year is the Case Report. As an Endodontist, I see a wide variety of interesting cases that are rarely seen by the general dentist. Our goal with these case reports is to share some of these more unusual and interesting cases with our dental community.
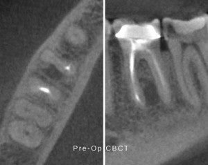
In mid-January 2016, a patient presented to our office, following referral from their general dentist, in pain from a lower right first molar. The tooth had been previously treated and had recently become exquisitely painful to percussion and palpation. It had a full coverage restoration with normal mobility and probing depths. Radiographs of the tooth showed a radiolucent lesion (lesion of endodontic origin) contiguous with the mesial roots. Interestingly, the lesion was located in the apical half and furcal side of the mesial root.
Our understanding of the pathogenesis of lesions of endodontic origin (LEO) would suggest that there was a portal of exit that was near the center of the lesion, allowing bacterial toxins to diffuse into the attachment apparatus (PDL).
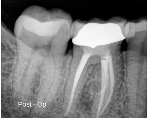
Given my expectation of an ancillary exit point of the root canal system, it became apparent that surgical apicoectomy would entail removal of a significant portion of the mesial root to incorporate this portal of exit. With this in mind the decision was made, with the patient’s approval, was for conventional endodontic retreatment.



Azim et al, in a February 2015 JOE article wrote about the incidence of mid-mesial canals in lower molars. The authors found that in the 91 molars evaluated, 6 (6.6%) teeth had mid-mesial canals that could be located without troughing of the axis defined by the orifices of the MB and ML canals. Following troughing, a further 36 (39.6%) mid-mesial canals were found with 60% occurring in the second molars. Of the 42 mid-mesial canals found, 4 (9.5%) had a separate coronal and apical orifice, i.e. were a completely separate canal. In the remaining teeth, the mid-mesial canals joined either the MB or ML canal prior to the apical terminus.
This patient’s symptoms resolved within days and she has been asymptomatic since. My expectation is that we will see a significant reduction in the size of the lesion at our one year recall. Most dental office may treat 10-15 lower molars in an average year. One could expect then to find one mid-mesial canal every couple of years. While enhanced optics and 3D imaging surely helps with the discovery process, the dentist must be vigilant to be on the lookout for these black sheep canals.

Dr. Bittner was born and raised in the Surrey / Langley area. Following his pre-dental training at Simon Fraser University, he received his Doctor of Dental Medicine from the University of British Columbia in 1982 and his Certificate in Advanced Graduate Studies in Endodontics from Boston University’s Goldman School of Dental Medicine in 1995.
Dr. Bittner was in private practice in general dentistry for 11 years in Langley before his Endodontic specialty training. He has been practicing Endodontics since 1995.
In his free time, Dr. Bittner loves to participate in a variety of sports including most recent, golfing! He also enjoys being a grandfather to 4, which if you ask him is just the best!