Dentaltown Learning Online
Dentaltown Learning Online
Dentaltown Learning Online and the latest outstanding continuing education offerings.
Howard Goldstein

Dentaltown Learning Online... From Extraction to Prosthetic Restoration. A Comprehensive Approach. By Dr. Thanos Ntounis

Dentaltown Learning Online... From Extraction to Prosthetic Restoration. A Comprehensive Approach. By Dr. Thanos Ntounis

2/3/2016 11:09:22 AM   |   Comments: 0   |   Views: 170
Dentaltown Learning Online is pleased to present..."From Extraction to Prosthetic Restoration. A Comprehensive Approach" By  Dr. Thanos Ntounis.

This CE course can be found here...
?http://www.dentaltown.com/Dentaltown/OnlineCE.aspx?action=DETAILS&cid=614





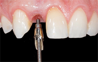
This presentation highlights the surgical and restorative techniques to accomplish predictable outcomes in the esthetic zone with implant therapy. Treatment modalities are demonstrated with high quality photography and case series discussion. Surgical modalities presented include ridge preservation and immediate implant placement as well as soft and hard tissue augmentation. Special emphasis is placed on immediate provisionalization of implants to accomplish optimal peri-implant mucosa architecture. Techniques to transfer provisional emergence profile to the final restoration are presented. Additionally, critical elements of restorative treatment and material choice are discussed. An additional aspect of the course focuses on full arch prostheses and treatment planning considerations.

Dr. Ntounis (pronounced Dounis) is a dual specialist in the field of Prosthodontics and Periodontology. He received his DDS from the University of Athens Dental School in Athens, Greece in 2005. He went on to complete a Prosthodontics residency and a Masters Degree form the same institution (2006-2009). Dr. Ntounis completed his Periodontics residency in the University of Alabama at Birmingham (UAB) and the Birmingham Veterans Affairs Hospital (2010-2013). He achieved board certification from the American Board of Periodontology in 2014.  Dr. Ntounis has published over a dozen peer-reviewed papers on the field of implant dentistry and tissue engineering. He has served as an Assistant Professor the University of Louisville and currently maintains a private practice limited to periodontics and Implant dentistry. His practice “Synergy Periodontics and Dental Implants” is located in Fredericksburg, Virginia.
You must be logged in to view comments.
Total Blog Activity
997
Total Bloggers
13,451
Total Blog Posts
4,671
Total Podcasts
1,788
Total Videos
Sponsors
Townie Perks
Townie® Poll
Do you do more or less endo procedures since you started practicing?
  
The Dentaltown Team, Farran Media Support
Phone: +1-480-445-9710
Email: support@dentaltown.com
©2025 Dentaltown, a division of Farran Media • All Rights Reserved
9633 S. 48th Street Suite 200 • Phoenix, AZ 85044 • Phone:+1-480-598-0001 • Fax:+1-480-598-3450