Show Your Work: Treating an Aging Population by Dr. Raymond Kimsey

Dentaltown Magazine

An aesthetic and conscientious approach for a 94-year-old patient


by Dr. Raymond Kimsey


As my practice ages, so do my patients, and their needs become more complex. The challenge that I often face is how to provide the appropriate care and do what is right for my patients when considering their age and circumstances. This case serves as a good example.

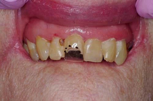
The 94-year-old patient in my chair had a fractured maxillary incisor (Figs. 1 and 2). Although her physical health was good and her basic systems were sound, she suffered from advanced Alzheimer’s disease. I would consider placing a crown for a younger patient, but in this case the expense was not necessary and there was a more practical approach.

At 94, the patient still had a full set of natural teeth, thanks to a lifelong commitment to oral care, but she now suffered from compromised hygiene, xerostomia and a tendency to retain some food in her mouth. A radiograph revealed extensive caries, but the bone was excellent. Fortunately, she is cared for by a loving daughter who wanted her mother’s tooth restored for her comfort and appearance.

Alzheimer’s disease limited the patient’s ability to both communicate and cooperate. Considering her age and condition, I decided that the appropriate treatment plan would be to place a direct restoration using a crown form and composite. This could be done quickly in one visit, and by performing much of the trimming outside her mouth, I’d need only a minimal amount of cooperation from her.

When a strip crown is used with composite material, it can distort the crown or shift it slightly off axis, because of the high viscosity of conventional composite material. I chose a bioactive composite material (Activa Bioactive-Restorative from Pulpdent) for this case because it would flow into and fill the crown form, seat accurately, and allow air to vent through perforations in the incisal edge of the plastic form. From experience, I knew that this material can withstand impact forces and shows high resistance to wear and recurrent caries, which was of great importance in this highly cariogenic mouth.

However, this patient’s teeth had acquired much pigmentation during her long life and the darkest Activa shade, A3.5, would be too light. To compensate, I planned to coat the facial–incisal aspect of the crown form with a 0.5mm layer of conventional A5 shade composite to satisfy the aesthetic requirement. This laminate layer would be completely supported underneath by Activa.

After removal of the caries (Fig. 3, p. 27) I fitted a generic strip crown and marked the junction to her facial enamel on the crown form (Fig. 4, p. 27). This allowed me to know exactly where to place the darker conventional composite as a facial veneer (Fig. 5). This veneer would not interfere with the benefits of the flowable bioactive composite for both the placement and the sustainability of the restoration.

Extensive incisal-edge caries is typical of patients with xerostomia. I have performed many restorations where the dentin is eroded and no longer supports the enamel edge. In these cases, the dentin is prepped deeper to provide enhanced retention and longer life, and then the bioactive composite is placed, which helps prevent incisal caries while supporting the brittle enamel.

The flowable bioactive composite was injected into the crown form and seated (Fig.?6). Excess composite was easily removed, as was the crown form, and the restoration required minimal finishing to achieve an aesthetic result that should serve the patient for the rest of her life (Fig. 7).

Digital Implant Therapy
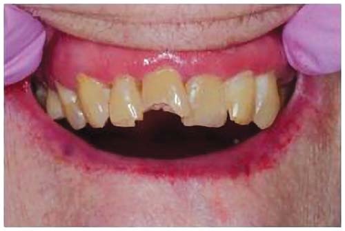
Fig. 1: Fractured maxillary incisor of a 94-year-old female patient.
Digital Implant Therapy
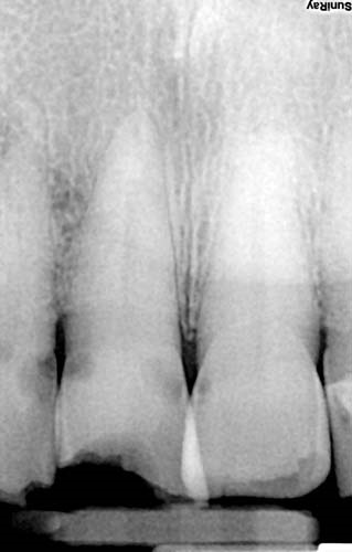
Fig. 2: Radiograph of incisor.
Digital Implant Therapy
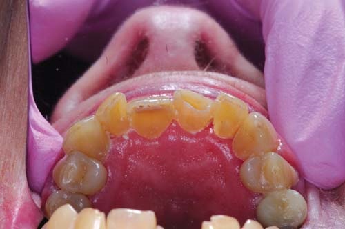
Fig. 3: After caries removal. Note the lack of restorations at age 94, a fine example of a life with good diet and excellent oral care. However, as the patient declines, so does her personal hygiene and, together with xerostomia, rampant caries becomes a major challenge.
Digital Implant Therapy
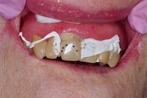
Fig. 4: The junction to the facial enamel is marked on the crown form. The incisal edge of the crown form is perforated at both corners with an explorer tip to allow for venting of air. The perforation is made from the internal aspect outward, to avoid a negative flaw in the resulting veneer.
Digital Implant Therapy
Fig. 5: For shade matching, an A5 composite was placed like a veneer to cover the facial–incisal aspect and is backed by Activa.
Digital Implant Therapy
Fig. 6: A total-etch technique was used, followed by dentin bonding. Thin white Teflon was placed to prevent any etching of the adjacent teeth and to aid in removal of excess material. Activa is dual-cure, and there is no concern that the curing light will not cure some marginal areas. This is particularly useful in Class 2 boxes.
Digital Implant Therapy
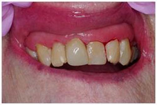
Fig. 7: Because part of this treatment plan was to improve aesthetics, the mesial-incisal overlap was reduced. The final result improves her appearance, provides function for her remaining life, and facilitates hygiene.

Check it out!

Show your work in Dentaltown!
If you’ve got a case you think might be a great study for Show Your Work, email editor Sam Mittelsteadt: sam@dentaltown.com. Be sure to include a sentence that sums up why the case is so special to you, to help us review and select the best contenders for publication.

Author Bio
Author Dr. Raymond D. Kimsey graduated from the University of Florida School of Dentistry, then completed a general practice residency at Miami Children’s Hospital. His practice specializes in treating complex and challenging cases and also offers IV sedation. Kimsey is adept at working with “dental phobics” and was named Miami’s Best Dentist by the Miami New Times. He is an adviser to S-Ray and is the board chair of Miami Arts Charter School.
 
 

Support these advertisers included in the September 2019 print edition of Dentaltown magazine.

Click here for an entire list of supporters.

 
Sponsors
Townie Perks
Townie® Poll
Do you routinely screen adult patients for sleep-disordered breathing or obstructive sleep apnea?
  
The Dentaltown Team, Farran Media Support
Phone: +1-480-445-9710
Email: support@dentaltown.com
©2026 Dentaltown, a division of Farran Media • All Rights Reserved
9633 S. 48th Street Suite 200 • Phoenix, AZ 85044 • Phone:+1-480-598-0001 • Fax:+1-480-598-3450