Fewer Steps, Fewer Compromises by Dr. Jennifer Derse

Fewer Steps, Fewer Compromises 


by Dr. Jennifer Derse


In today’s restorative landscape, clinicians are challenged to deliver highly aesthetic, durable restorations while maintaining efficiency and predictable outcomes. GrandioSO 4U addresses this challenge by combining simplicity, performance, and long-term reliability in one material.

One of the most compelling features of GrandioSO 4U is its ability to deliver optimal aesthetics with just five cluster shades yet seamlessly cover all 16 classic Vita shades.

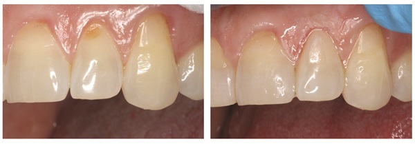
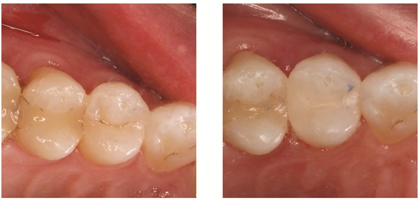
As seen in Figure 1, we were able to seamlessly cover the dark yellow circle of dentin seen in the before photo while blending the composite covering the gingival two-thirds of the enamel to rebuild what was lost from erosion. Our patient was so thrilled with the outcome, that after we completed the required work on #10 and #12 (Fig. 2), she asked if she could have her other four Class V restorations on #7–9 completed at her next visit. With one small filling we gained big trust with a patient that began her visit with fear and anxiety and created a lasting, positive impression. Note that this was done fast with only one shade, yet you can see a gradation of shade blending over the entire tooth. Once cured we simply shaped and polished and she was asking for more.

This streamlined shade system significantly reduces guesswork and chairside decision-making while still providing natural, lifelike results. With a 4 mm depth of cure achieved in only 10 seconds (except for A4, which requires 20 seconds due to higher pigment content), clinicians can place restorations faster without compromising polymerization or aesthetic integrity. In today’s world where doctors are squeezed for time, this is an essential advantage in busy practices.
Fewer Steps, Fewer Compromises
Fig. 1: Before and after restoration on tooth #10 using Voco GrandioSO 4U shade A1 cluster

Fewer Steps, Fewer Compromises
Fig. 2: Before and after on tooth #12 DO using GrandioSO 4U shade A1 cluster

At the heart of GrandioSO 4U’s performance is its uniquely engineered 91% filler content by weight, one of the highest in its class. This exceptionally high fill rate translates into outstanding wear resistance, a tooth-like modulus of elasticity, and optimized thermal expansion and flexural strength. Together, these properties support restorations that behave more like natural tooth structure, contributing to excellent marginal integrity and long-term clinical outcomes, even in high-stress posterior situations.

Equally important is what GrandioSO 4U leaves out. With significantly reduced resin content compared to conventional composites, the material offers enhanced color stability and exceptionally low polymerization shrinkage of only 1.44% by volume. Resin is what holds fills together, and it’s also responsible for many of the drawbacks associated with composites. Reduced resin content minimizes shrinkage and stress at the tooth and restoration interface, helping preserve bond strength and marginal seal. Clinicians also appreciate its non-sticky consistency (which comes from resin), which provides superb handling, excellent sculptability, and efficient placement. These are key factors in achieving predictable outcomes.

The importance of bulk-fill composites in modern dentistry is well established. They allow for deeper, faster material placement with fewer increments, reducing the risk of voids and improving workflow efficiency. GrandioSO 4U exemplifies these benefits while eliminating the traditional compromises often associated with bulk-fill materials. Layering takes time on top of curing time, so having both reduced, feels like a buy-one, get-one deal.

Finally, composite inventory management is an often-overlooked contributor to practice efficiency and profitability. By reducing shade complexity to five universal clusters, GrandioSO 4U helps practices lower inventory costs, minimize waste, and simplify ordering without sacrificing aesthetics or performance.

In short, GrandioSO 4U delivers a smart, clinically advanced solution for dentists who want to work more efficiently while achieving exceptional, long-lasting restorative results.

This content is sponsored by Voco America.
For more information, visit vocoamerica.com.


Author Bio
Dr. Jennifer Derse Dr. Jennifer Derse is a cosmetic and restorative dentist with more than 20 years of clinical experience. A 2005 graduate of Marquette University School of Dentistry, she began her career in Scottsdale, Arizona, and later relocated to Denver in 2010. She serves as fractional Chief Clinical Director at Espire Dental and is a mentor at the Kois Center. She also lectures on cosmetic and restorative dentistry, aligner therapy and treatment planning.
Sponsors
Townie Perks
Townie® Poll
Do you routinely screen adult patients for sleep-disordered breathing or obstructive sleep apnea?
  
The Dentaltown Team, Farran Media Support
Phone: +1-480-445-9710
Email: support@dentaltown.com
©2026 Dentaltown, a division of Farran Media • All Rights Reserved
9633 S. 48th Street Suite 200 • Phoenix, AZ 85044 • Phone:+1-480-598-0001 • Fax:+1-480-598-3450