Elevating Implant Success by Dr. Ed Kusek

Categories: Implant Dentistry;
Elevating Implant SuccessLaser-assisted lateral sinus augmentation for implant site development

by Dr. Ed Kusek


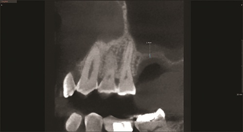
This case involved a 45-year-old male who lost tooth #14 because of periodontal disease, and after extraction, lost bone support to place an implant in the site. The patient had no provisional appliance but was ready for a permanent solution to the missing first molar. The patient had a thick biotype; hard and soft tissues were within normal limits, with no popping or clicking of the temporomandibular joint and no pain from the muscles of mastication. Maximum opening was 40 mm. A CBCT was taken to determine any anatomical structures of concern, if any buttress was present that would make the sinus lift more difficult, and if any anatomical structures were present in the lateral wall of the sinus (the anterior branch of the superior anterior artery PSA). On evaluation, it was found that the height was inadequate at 1.4 mm, the width was adequate at 8 mm, and the depth was also inadequate (Figs. 1 and 2). Thus, implant placement would be compromised. The use of osseodensification drills was contraindicated, as there was inadequate bone to perform a vertical sinus lift without tearing the sinus membrane, with an elevation of 7–10 mm. Thus, a lateral sinus wall approach was indicated to gain sufficient height for placement of an implant at least 10 mm in length.
Elevating Implant Success
Fig. 1
Elevating Implant Success
Fig. 2


The CBCT was sent to a maxillofacial radiologist for evaluation to determine whether any pathology had been missed by this author.

The records for the patient included a full CBCT, intraoral photographs, digital scans of the maxilla and mandible using a Trios scanner with bite registration, shade matching with a Vita 3D shade guide, and OraPath bacterial testing to determine if the patient had elevated levels of aggressive bacteria (red complex Fa, Aa, Td, Tf, Pg, Fn-a, Fn).

The maxillofacial radiology report showed the following: no paranasal abnormalities; no nasal cavities; no airway abnormalities; both temporomandibular joints were normal; and no osseous structures were detected. The bacterial report showed high values of Pg (1.6x 107), Tf (1.5x105), and Fn (2.3x108). After placing the patient on probiotics (ProBiora), the values decreased to Pg (4.1x105), Tf (6.3x103), and Fn (3.8x106).


Treatment plan
1. Lateral sinus lift in the area of teeth #14–15, using a CO2 laser for elevation of the soft tissue along with surgical elevators. Platelet-rich fibrin (PRF) will be used to create sticky bone with irradiated cancellous bone. PRF membranes will cover the sinus membrane, with possible use of an interlocking collagen membrane in case of a sinus tear. The DASK (Dentium Advanced Sinus Kit) system will be used to gain access to the lateral wall of the sinus.

2. High-intensity laser therapy with a Deka Nd:YAG 1064 nm laser will be performed to stimulate bone growth. The settings will be applied over three visits, with the intensity adjusted per the protocol established by Alessandro Bizzarri:
  • First treatment: 60 mJ, 250 μs, 30 Hz, 2.4 W for 20 seconds on the buccal and lingual aspects of the surgical site.
  • Second treatment: 80 mJ, 250 μs, 30 Hz, 2.4 W for 20 seconds on the buccal and lingual aspects of the surgical site.
  • Third treatment: 100 mJ, 250 μs, 30 Hz, 2.4 W for 20 seconds on the buccal and lingual aspects of the surgical site.
3. Remove 3-0 PTFE sutures in 14–21 days, depending on healing.

4. Healing period: Wait six months, then take a new CBCT to evaluate bone growth and graft maturation.

5. Implant placement under IV sedation with PRF. Use a CO2 laser (Deka) to reflect the flap and expose the alveolar crest.

6. Repeat high-intensity laser therapy following implant placement.

7. Uncover the implant using a 10,600 nm CO2 laser. Place a scan body and take a radiograph to confirm proper seating. Perform a full-arch scan for fabrication of a gold-colored Atlantis abutment and record a facebow transfer and bite registration.

8. Seat the abutment, torque to 30 N·cm × 2, and cement the crown, making any necessary occlusal adjustments.

9. Perform post-operative bite and tissue evaluation.

10. Schedule routine maintenance and follow-up.


Treatment considerations
1. Salivary diagnostic testing to determine if the patient presents with elevated levels of red complex bacteria, which can contribute to periodontal disease and systemic health issues.

2. Oral probiotics and vitamin supplementation to increase beneficial bacteria, reduce pathogenic red complex organisms, and raise vitamin D levels, thereby helping to prevent implant failure.1
3. High-intensity laser therapy to decrease inflammation, promote bone formation, and accelerate healing.2

4. Use of an erbium laser (Biolase) to perform decortication and induce the regional acceleratory phenomenon, which can enhance bone-to-implant contact.3

5. Use of a CO2 laser (Deka) for flap reflection during the sinus lift, implant placement, and uncovering procedures.

6. Application of aqueous ozone (Biosure) to disinfect the osteotomy site during implant placement and at uncovering before scan body placement.4

7. Preparation of sticky bone using a horizontal centrifuge with PRF and demineralized bone to improve graft stability and integration.5


Case report: Lateral approach sinus lift
The patient was treated surgically using a lateral approach to elevate the sinus membrane and promote sufficient bone growth for placement of a 10–13 mm implant fixture to ensure long-term success. Intravenous access was established in the patient’s right antecubital fossa, and blood was drawn to obtain samples for centrifugation to create platelet-rich fibrin (PRF). The PRF, combined with demineralized bone and the buffy coat layer of the PRF, served to promote bone regeneration in the maxillary posterior segment.

The following medications were administered: 20 mcg dexmedetomidine, 5 mg midazolam, 50 mcg fentanyl, 8 mg dexamethasone sodium phosphate, 40 mg Depo-Solu-Medrol (IM), and 1 g cephalosporin at the completion of sedation.

A full-thickness flap was reflected from the distal aspect of tooth #12 to the mesial of #16 using a 10,600 nm CO2 laser (0.5 mm spot size, no water) for approximately 30 seconds, followed by the use of elevators to reflect the tissue. The sinus was accessed using the DASK system. A small perforation occurred in the inferior mesial wall, but the membrane was successfully elevated to allow placement of a flap over the perforation.

A large interlocking collagen membrane was placed over the site, covered with a PRF membrane. Approximately 4 g of sticky bone was placed in the grafted area, and the lateral window was covered with another interlocking collagen membrane and an additional PRF membrane before closure with 3-0 PTFE sutures.

The tissue was then de-epithelialized using an erbium laser, followed by Nd:YAG laser stimulation of the lymph nodes in the head and neck region and the surgical site, using settings of 30 Hz, 250 μs, and 60 mJ for 40 seconds at the surgical site and 20 seconds on the lymph nodes.


Post-op check
At the four-month healing evaluation, a new CBCT scan was taken to assess bone regeneration and plan for implant placement (Fig. 3). The bone height had increased to 13 mm, with a width of 8 mm—sufficient for placement of a 6.0 × 10 mm MegaGen implant. The soft tissue appeared healthy, and the patient was scheduled for implant placement in two months.

Elevating Implant Success
Fig. 3

Implant surgery
Intravenous access was established in the patient’s right antecubital fossa, and blood was drawn to obtain samples for centrifugation to create platelet-rich fibrin (PRF). The PRF, combined with demineralized bone and the buffy coat layer, was used to promote bone regeneration in the maxillary posterior segment.

The following medications were administered: 20 mcg dexmedetomidine, 5 mg midazolam, 50 mcg fentanyl, 8 mg dexamethasone sodium phosphate, 40 mg Depo-Solu-Medrol (IM), and 1 g cephalosporin at the completion of sedation.

A full-thickness flap was reflected from the distal of tooth #12 to the mesial of #15 using a 10,600 nm CO2 laser (0.5 mm spot size, no water) for approximately 30 seconds, followed by tissue reflection with elevators.

A 4.5 mm osteotomy was prepared using the appropriate drill sequence. The osteotomy site was decorticated with an erbium laser to enhance bone-to-implant contact6 and disinfected with 30 cc of aqueous ozone (Biosure).

A 6.0 x 10 mm implant (Fig. 4) was placed at the facial bony crest. PRF membranes were positioned over the implant before closure with 3-0 PTFE sutures. The site was again treated with an erbium laser to de-epithelialize the surface as previously described, followed by irrigation with 30 cc of aqueous ozone.

High-intensity laser therapy was applied using settings of 60 mJ, 30 Hz, and 250 μs for 20 seconds on the four lymph nodes, as previously described, and then on the buccal and lingual aspects of the surgical site. Postoperative instructions were the same as previously provided.

Elevating Implant Success
Fig. 4

Uncovering implant and scanning case
After three months of healing, the patient was scheduled for implant exposure (Fig. 5). Topical anesthetic was applied, followed by administration of 0.5 cc of 20 mg lidocaine with 10 mcg epinephrine, and 2.0 cc of 40 mg Septocaine with 5 mcg epinephrine.

A 10,600 nm CO2 laser was used to make a vertical incision palatal to the implant to reposition the attached tissue buccally, followed by a horizontal incision to preserve attached tissue on the adjacent teeth, creating an “H”-shaped flap design.

A TruAbutment scan body was placed, and a radiograph was taken to confirm proper seating of the scan body on the implant base. A full-arch scan of both the maxilla and mandible, including the bite, was completed using a Trios 4 scanner.

The case was then emailed to the laboratory (Caladent) for fabrication of a gold-colored Atlantis abutment with buccal margins positioned 2 mm from the base of the implant. A healing abutment was placed after irrigating the site with 10 cc of aqueous ozone.

After three weeks, the definitive abutment was soaked in aqueous ozone and seated with 30 N of force, repeated twice. The access was sealed with First Plug, and a photograph was taken of the access site. Contacts were verified, and occlusion was adjusted and polished. The crown was cemented (Fig. 6) using E-Cement (Bisco). Excess cement was removed, and a postoperative radiograph confirmed complete cleanup.

A follow-up visit was conducted two weeks later to confirm occlusion and ensure healthy peri-implant tissue.
Elevating Implant Success
Fig. 5
Elevating Implant Success
Fig. 6


Conclusion
This case demonstrates the comprehensive steps taken to achieve an optimal outcome, including the use of salivary diagnostic testing, probiotics, supplemental vitamins, aqueous ozone, and high-intensity laser therapy.

It is crucial to evaluate the desired clinical outcome first and then work backward to determine the necessary steps to achieve it. Successful implantology requires a solid understanding of head and neck anatomy, oral surgery, prosthodontics, and periodontics, along with the ability to recognize and manage systemic factors that may compromise treatment. In this case, the integration of laser technology contributed to predictable healing and long-term success.


References
1. Homayouni RA, Povrjafar H, Miitzakhani E. A comprehensive review of the application of probiotics and postbiotics in oral health. Front Cell Infect Microbiol. 2023;13:1120995.
2. Pineda S, Pollack A, Stevenson S, Goldberg V, Caplan A. A semiquantitative scale for histologic grading of articular cartilage repair. Acta Anat (Basel). 1992;143:335–340.
3. Verna C. Regional acceleratory phenomenon. Front Oral Biol. 2016;18:28–35.
4. Britton HC, Draper M, Talmadge JE. Antimicrobial efficacy of aqueous ozone in combination with short fatty acid buffers. Infect Prev Pract. 2019 Dec 16;2(1):100032.
5. Miron RJ, Zucchelli G, Pikos MA, et al. Use of platelet-rich fibrin in regenerative dentistry: A systematic review. Clin Oral Investig. 2017;21:1913–1927.
6. Kusek ER. Use of the YSGG laser in dental implant surgery: Scientific rationale and case reports. Dent Today. 2006;25(10):98–103.


Author Bio
Dr. Edward R. Kusek Dr. Edward R. Kusek is a diplomate of the American Board of Oral Implantology, the immediate past president of the American Academy of Implant Dentistry, a past president of the Academy of Laser Dentistry, and an adjunct professor at the University of Nebraska Medical Center College of Dentistry and the University of South Dakota Dental Hygiene School. He holds masterships in the Academy of General Dentistry and the Academy of Laser Dentistry and is a member of Dentaltown’s editorial advisory board.




Sponsors
Townie Perks
Townie® Poll
Do you routinely screen adult patients for sleep-disordered breathing or obstructive sleep apnea?
  
The Dentaltown Team, Farran Media Support
Phone: +1-480-445-9710
Email: support@dentaltown.com
©2026 Dentaltown, a division of Farran Media • All Rights Reserved
9633 S. 48th Street Suite 200 • Phoenix, AZ 85044 • Phone:+1-480-598-0001 • Fax:+1-480-598-3450