Bioactive Materials by Dr. John Comisi

Dentaltown Magazine
by Dr. John Comisi

A need for a new technique
The restoration of tooth structure damaged by dental caries or trauma has been the goal of the dental profession for more than 100 years. Although there have been many solutions, there is always the desire to find a better one. The placement of direct restorations is the bread and butter of general dental practices, and these restorations can often preserve healthy tooth structure and provide immediate results for patients. However, we need to recognize that our current hybridization and restorative methods may ultimately be flawed.

A study by the National Institute of Dental and Craniofacial Research reported the average life expectancy of composite restorations is 5.7 years and that the primary cause of failure is the degradation of the bonding agent at the material/tooth interface.1 Multiple generations of resin bonding-adhesion systems have been developed to overcome shortcomings of previous ones; different particle fillers and monomers have been added to resin composite materials in an attempt to enhance them, and simpler forms of dental adhesives have been developed. However, even with the advances in resin-based sciences, the problems at the adhesive/tooth interface persist. Considering the trend to replace amalgam with composites, and the failure rate of composite restorations being double to that of amalgam, the consequences could be detrimental to our patients.2,3

The dental literature is filled with calls to action for the development of materials and techniques to reverse this trend, and it is imperative that we understand why there's a need to change how we provide care for our patients.1,4

Identifying the problem
First, we must accept that the adhesive/dentin interface is the weak link in the composite restoration.1,3 The solubility and failure of the adhesive layer can be compounded by variables such as cavity prep design, improper etching, difficulty obtaining isolation, inadequate light energy, polymerization shrinkage, and the proliferation and varying properties of materials, which may result in gap formation. If oral fluids and bacteria penetrate crevices created between the tooth and the undermined composite restoration, it can lead to recurrent decay and premature failure.1

Next, we must understand that traditional composite restorations are passive and provide little chemical protection to the tooth. Historically, it was considered best practice to use passive restorative materials that did not interact with the oral environment and did no harm. However, this approach has been shown to lead to a higher susceptibility of composite restorations to secondary caries, because the passive materials allow for the accumulation of a high concentration of biofilm on the composite surfaces.5,6

Finally, we must look beyond the current generations of universal bonding agents, as Chen, Pashley, Tay, et al. did in their paper, "Bonding of Universal Adhesives to Dentin­­—Old Wine in New Bottles?" The article's conclusion states, "The increase in versatility of universal adhesives is not accompanied by technological advances for overcoming the challenges associated with the previous generations of adhesives. Therapeutic adhesives with bioprotective and biopromoting effects are still lacking in commercialized adhesives."7

Bioactivity and biomineralization
Bioactivity has been a buzzword in the dental industry over the past few years, and it's important to understand the meanings of "bioactivity" and "biomineralization," and how they apply to our practices.

The concept of bioactive materials was introduced in 1969 and later defined as "one that elicits a specific biological response at the interface of the material which results in the formation of a bond between tissues and the material."8 This definition has been developed further, and we now understand that a bioactive material is "one that forms a surface layer of an apatite-like material in the presence of [saliva or a saliva substitute]."9

Bioactive materials transport water and deliver minerals that are beneficial to tooth structure. They stimulate mineralization and the formation of chemical bonds that help to seal the tooth and prevent microleakage.2 Bioactive materials are active, not passive, and play a dynamic role in the oral environment. They can reduce sensitivity,10 can reduce marginal leakage and marginal caries11 and can be less technique-sensitive.12

Nonpassive restorative materials have evolved over the decades, from glass ionomers to resin-modified glass ionomers (RMGIs), calcium silicates and a new class of aesthetic bioactive restorative composites. Glass ionomer cements (GIC) have enjoyed extensive use in dentistry, including in my practice, and are noted for a high level of fluoride release and recharge, along with the ability to form ionic bonds to tooth structure. The calcium aluminum fluorosilicate glass and polyacrylic acid mixture enables a chemical fusion and adhesion to tooth structure via transfer of ions contained in the glass. There are indications that there is a caries-preventive effect by the fluoride released from GIC materials at the tooth/oral fluids interface.13 There is also empirical evidence of these anticaries properties, which have been noted by many practitioners (myself included).

Glass ionomers, however, do not meet the definition of bioactivity as it is understood today. In a study by Kim, et al., investigators tried to remineralize demineralized dentin by nucleation of new apatite crystallites within an apatite-free dentin matrix.14 The study determined that GIC produced no apatite deposition in completely demineralized dentin samples that had been immersed in three types of remineralization media.

Jefferies, et al., further illustrated that GICs do not form apatite. This study did, however, illustrate that two bioactive calcium- based materials, calcium aluminate and calcium silicate, stimulate apatite formation and could seal or reseal artificially created gaps in simulated aqueous physiological conditions. The clinical significance of these types of calcium containing bioactive materials is that they can improve the marginal stability of the tooth/restorative material interface and the long-term survival and serviceability of the restorations.15

Biomineralization is a process by which living organisms secrete inorganic materials in an organized manner.16 Or, put another way, it's how the structure and properties of inorganic solids are deposited in biological systems. This occurs via the selective extraction and uptake of elements from the local environment and their incorporation into functional structures under strict biologic control.

The biomineralization process requires crystalline structures with specific ionic properties and of the appropriate size to organize and form biologic apatite. Essentially, if the proper building blocks are provided and water is present, remineralization can occur. Calcium and phosphate ions, along with water, are the essential components for this natural remineralization process.

Sauro and Pashley report the most recent research suggests amorphous (noncrystalline) calcium phosphate (ACP) enters collagen fibrils in a biomimetically stabilized "fluidic" state."17 Research by Abuna, et al., illustrates that when demineralized dentin is covered with a flowable resin composite that contains ACP and is immersed in biomimetic polyanions, the calcium and phosphate ions can slowly diffuse through any water-filled porosities within adhesives and hybrid layers.18 The investigators concluded that it would be possible to "backfill" such defects with apatite crystals and fossilize all dentin proteases as the matrix collagen remineralizes. This approach decreased nanoleakage and showed phosphate uptake and deposition of needlelike crystallites at the intrafibrillar level.

Discussion
How do we translate this science into clinical applications? Currently, there are several types of restorative materials for use in clinical dentistry that meet the criteria for bioactivity. They are dynamic materials that transport water and, in the presence of saliva, stimulate the formation of apatite at the restorative/tooth interface. To act as an amalgam and composite replacement, however, the material must also have excellent aesthetics and durability and be insoluble in the moist oral environment; water cannot cause it to deteriorate. So, to be suitable for long-term clinical use as a definitive bioactive restorative material, the material must allow water to pass through it without compromising its physical properties.

I have been using Activa Bioactive Restorative from Pulpdent in private practice for more than four years. As our confidence in the material increased, we have used it in almost every imaginable restorative situation and have never been disappointed. The case studies that accompany this article illustrate some common uses.

Conclusion
Hybridization and conventional composite restorations have been shown to have shorter durability than intended or desired. The preponderance of multiple generations of resin adhesives and the various additives proposed to overcome the challenges of resin-bonded adhesives lead to the conclusion that a change in methodology and direction is warranted. Strong, aesthetic, durable materials with bioactive or biomineralization capability will lead to an evolution in the dental restorative process.

Case 1
A 37-year-old patient presented for treatment after years of neglect. After administering anesthetic and placing an Isolite isolation device, we prepared teeth #10–12 and restored them
with Activa Bioactive-Restorative composite.

  • Figure 1

  • Figure 2

  • Figure 3

  • Figure 4

  • Figure 5

  • Figure 6

Case 2
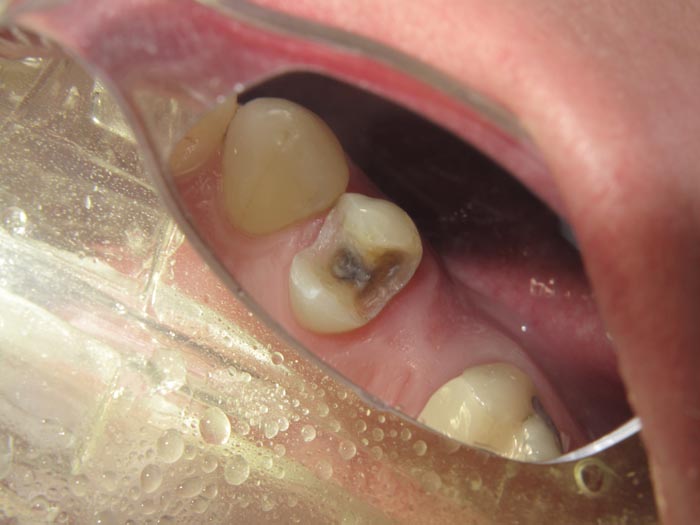
A 52-year-old patient presented with failing composite on #26. We see this often; it indicates microleakage at the material/tooth interface because of degradation of the bonding agent.

  • Figure 7

  • Figure 8

  • Figure 9

  • Figure 10

Case 3
A 62-year-old patient presented for restoration of #30.

  • Figure 11

  • Figure 12

  • Figure 13

  • Figure 14

  • Figure 15

Case 4
A 54-year-old patient presented for replacement of failing amalgam on #12.

  • Figure 16

  • Figure 17

  • Figure 18

  • Figure 19A

  • Figure 19B

  • Figure 20A

  • Figure 20B

  • Figure 21

  • Figure 22

 

References
1. Spencer P., et al., "Adhesive/Dentin Interface:
The Weak Link in the Composite Restoration."
Ann Biomed Eng 2010; 38(6):1989–2003.
2. Ferracane JL. "Resin-Based Composite Performance:
Are There Some Things We Can't Predict?"
Dent Mater 2013; 29(1):51-58.
3. Spencer P, et al. "Proteins, Pathogens, and Failure
at the Composite-Tooth Interface."
J Dent Res 2014; 93(12):1243–249.
4. Moraschini V. "Amalgam and Resin Composite Longevity
of Posterior Rrestorations: A Systematic Review and
Meta-Analysis." J Dent 2015; 43(9):1043–050.
5. Nedeljkovic I, et al. "Lack of Buffering by Composites Promotes Shift to More Cariogenic Bacteria."
J Dent Res 2016; 95(8):875–81.
6. Spencer P, et al. "Proteins, Pathogens, and
åFailure at the Composite-Tooth Interface."
J Dent Res 2014; 93(12):1243–249.
7. Chen C, et al. "Bonding of Universal Adhesives
to Dentin– Old Wine in New Bottles?"
J Dent 2015; 43(5):525–36.
8. Cao W, Hench LL. "Bioactive Materials."
Ceram Int 1996; 22(6):493–507.
9. Jefferies SR. "Bioactive and Biomimetic Restorative Materials: A Comprehensive Review (Part I)."
J Esthet Restor Dent 2013; 26(1):14–26.
10. Guentsch A. "Biomimetic Mineralization: Long-Term Observations in Patients with Dentin Sensitivity."
Dent Mater 2012; 28(4):457–64.
11. Jefferies SR, et al. "A Bioactive Dental Luting Cement­—
Its Retentive Properties and 3-Year Clinical Findings."
Compend Contin Educ Dent 2013; 34 Spec No 1:2–9.
12. Yazicio?glu O, Ulukapi H. "The Investigation
of Non-Invasive Techniques for Treating Early
Approximal Carious Lesions: An In Vivo Study."
Int Dent J 2013; 64(1):1–11.
13. Ten Cate J.M. "Current Concepts on the Theories
of the Mechanism of Action of Fluoride."
Acta Odontol Scand 2000; 57(6):325–239.
14. Kim YK, et al. "Failure of a Glass Ionomer
toRemineralize Apatite-Depleted Dentin."
J Dent Res 2010; 89(3):230–235.
15. Jefferies SR, et al. "Preliminary Evidence That Bioactive Cements Occlude Artificial Marginal Gaps."
J Esthet Restor Dent 2015; 27(3):155–66.
16. Mann S. "Biomineralization: Principles and
Concepts in Bioinorganic Materials Chemistry."
New York, Oxford UP, 2001.
17. Sauro S, Pashley DH. "Strategies to Stabilise
Dentine-Bonded Interfaces Through Remineralising Operative Approaches­—State of the Art."
Inter J Adhes Adhes 2016; 69:39–57.
18. Abuna G, et al. "Bonding Performance of Experimental Bioactive/Biomimetic Self-Etch Adhesives Doped with Calcium-Phosphate Fillers and Biomimetic Analogs of Phosphoproteins." J Dent 2016; 52:79–86.


Author John Comisi, DDS, MAGD, has been in private practice in Ithaca, New York since 1983, and is president and CEO of Sleep Focused Solutions. He is the founder of Dental Care with a Difference, PC and an assistant professor at the Medical University of South Carolina College of Dental Medicine. He is a graduate of Northwestern University Dental School, a master of the Academy of General Dentistry, and holds Fellowships in the Academy of Dentistry International, the American College of Dentists, the Pierre Fauchard Academy, and the International College of Dentists.
 

Support these advertisers included in the August 2017 print edition of Dentaltown magazine.

Click here for an entire list of supporters.

 
 
Sponsors
Townie Perks
Townie® Poll
Do you routinely screen adult patients for sleep-disordered breathing or obstructive sleep apnea?
  
The Dentaltown Team, Farran Media Support
Phone: +1-480-445-9710
Email: support@dentaltown.com
©2026 Dentaltown, a division of Farran Media • All Rights Reserved
9633 S. 48th Street Suite 200 • Phoenix, AZ 85044 • Phone:+1-480-598-0001 • Fax:+1-480-598-3450