Current Guide to All-ceramic Restorations by John Nosti, DDS, FAGD, FACE


Open any dental journal and you will be bombarded with the advertisements for what claim to be the "latest and greatest" in all-ceramic materials. With seemingly every manufacturer claiming superiority in strength, aesthetics, indications and wear compatibility, it is no wonder that dentists are more confused now than ever on which material is best suited for their patients.

Some of the questions I currently hear from dentists are: Is it possible to have a dental practice that is truly metal free? What material would work best in a given situation? Is there one material that can do it all in my office? This article is intended to answer those questions, as well as clarify current ideal uses for what is available in all-ceramic materials today.

Much of the confusion in all-ceramic dentistry centers with the processing options of the current materials, as well as myths surrounding the strength of materials. A monolithic restoration refers to a material that is both a homogonous material and a "one-piece construction." Due to the ability of many all-ceramics to have this monolithic option, the strength of these restorations is superior to that of the porcelain-fused-to-metal (PFM) counterpart. The metal coping of a PFM is very strong, however, the saying "you are only as strong as your weakest link" holds true. For the PFM, the weakest link is the layering ceramic, which has a typical shear strength of approximately 150-185Mpa. A good rule of thumb is that a layered ceramic, no matter what the substructure that it is built on, is typically weaker than a monolithic counterpart.

Monolithic Zirconia

Current examples: BruxZir - Glidewell Lab; Kdz Bruxer - Keating Dental Arts; OccluZir - LSK121 Dental Lab; Lava Monolithic - 3M; Lava Plus - 3M

With the current trends in marketing, monolithic zirconium restorations have seen an increase in use from years past. Out of the current choices in all-ceramic restorations, monolithic zirconia will offer you the highest strength, but the least aesthetics of the group. 3M introduced Lava Plus this year, which promises more translucency and improved aesthetics over the traditional monolithic zirconia options.

Early studies on monolithic zirconia revealed that it caused a statistically significant increased amount of wear to the opposing natural dentition than comparable all-ceramic restorations.1 Current studies indicate that if an occlusal adjustment of this material is performed, it is necessary to restore the surface to its original polished state.2,3 This may be difficult to achieve if a post cementation, intra-oral adjustment has been performed. Other studies indicate that monolithic zirconia crowns polished finished from the lab have superior wear compatibility to those that are glazed.4 Given the current studies available on this material, it is important to understand if the lab finishes the restoration to a polished or gloss state. Likewise, it is important to understand the potential consequences on occlusal adjustments to the finished restoration.2,3

Reviewing many wear-compatibility studies on monolithic zirconium, it has been noted that most studies on glazed zirconia past 100,000 cycles (six months of simulation in the oral environment) show significant loss of the glaze. Once the glaze has been lost, wear of the opposing tooth structure increases beyond this point.4 Some studies and opinions about monolithic zirconium indicate that although the material shows a promising future, there isn't enough long-term data available to support its current use.5,6

Indications for the uses of monolithic zirconia include single posterior restorations, all bridges (including long span), implant crowns, implant abutments, inlays and onlays. Cementation of this material offers a wide variety of options including conventional cementation (GC Fuji Plus, Rely X Luting Cement), adhesive cements and/or self-adhesive cements (Rely X Unicem, Multilink, Maxcem, Panavia).

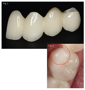
Zirconia Supported/ Layered Restorations*

Current examples: Lava DVS - 3M; IPS e.max ZirPress - Ivoclar Vivadent; Cercon Ceramco PFZ, Cercon Ceram Kiss - Dentsply (Fig. 1)

This second category of zirconia restorations offers the strength of zirconia at its core with multiple options for ceramics layered or pressed on the zirconia infrastructure. This means that these restorations do not have the strength of the monolithic counterpart, but potentially have more indications in a cosmetic office due to a higher aesthetic result from the layered ceramic. Previously this category of all-ceramic restorations reported a higher incidence of chipping, fracture or failure of the overlying porcelain than in other categories discussed in this article.7,8,9,10,11 I personally experienced a higher fracture/ failure rate of restorations from this category from 2005-2009 than any all-ceramic restoration I have ever used (Fig. 2). Failures of these older restorations in this category were attributed to two main causes - one, improper design of the zirconia coping, and two, adhesive/ cohesive failure of the layering porcelain.

The new generation of zirconia-supported restorations has promised correction of the previous years' woes. Lava DVS (Digital Veneering System) designs the coping of this final restoration from the top down versus the bottom up as other lab-fabricated layered restorations. The final restoration is digitally designed and then the coping is built to match the final crown design. The result is a coping that includes support for cusps and marginal ridges, which the older traditional-designed zirconia copings lacked. The final layering materials that are fused on top of this coping include a dentin and enamel shade ceramic for higher aesthetic result comparably seen in traditionally layered ceramic restorations.

Lava DVS is indicated for single-unit anterior and posterior crowns, and can be conventionally cemented or placed with self-etching resin cements, an improved single-unit posterior choice with the aesthetics of a layered restoration and the strength of monolithic one. Cementation of this material would be the same as other monolithic zirconia options.

IPS e.max ZirPress, IPS e.max ZirCAD, Ceramco PFZ, Cercon Ceram Kiss - if you need a replacement for your porcelain-fused-to-metal bridgework, these just might be the type of restoration you are looking for. This category of restoration allows you to have the strength of Lava zirconium in the framework with the beauty of a layering porcelain on top. The benefit is a more translucent and higher aesthetic final restoration than a traditional porcelain-fused-to-metal bridge.

The ceramic used for IPS e.max Zirpress restorations contains both glass ceramic and flourapatite crystals. It is not to be confused with IPS e.max Press or IPS e.max CAD, which is lithium disilicate. In this category, zirconia is used to fabricate an anatomically correct framework, which allows for the layering ceramic to be placed on top in an even thickness. Like the Lava DVS coping design, this prevents the layering ceramic to be unsupported on cusp and marginal ridges tips. This lack of an anatomically correct coping was a major factor in the previous failures reported earlier in this category. The resulting restoration has a flexurual strength of 110+10MPa (zirconia framework >900MPa), comparable to the porcelain-fused-to-metal counterpart, with an excellent aesthetic result without having to opaque the metal substructure.

IPS e.max ZirPress and IPS e.max ZirCAD are indicated for single restorations, anterior and posterior bridgework, implant superstructures, inlay-retained bridges and gingival portions of restorations.

Bridgework, anterior and posterior full crowns can be cemented with conventional cement, self-adhesive cement or adhesive cement. Inlay-retained bridges should be placed with adhesive cements.

*It is important to note that some labs offer zirconia-supported frameworks with other layering ceramics, such as Noritake, Vita, etc., besides IPS e.max ZirPress or ZirCAD. These restorations would be another option for replacement of porcelain-fused-to-metal and should be considered falling into this category.

This is the material of choice for large span anterior bridgework, select premolar pontic bridgework, molar pontic bridgework and bridgework with multiple pontics and abutments.

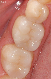
Lithium Disilicate

Current example: IPS e.max - Ivoclar (Fig. 3)

Lithium disilicate is one of the most versatile materials in all-ceramic dentistry today, with the most studies out of any all-ceramic restoration. IPS e.max offers the prescribing doctor a great combination of strength and beauty, with the ability to bond at higher strengths. Out of the previous ceramics mentioned, IPS e.max is the first of the group that is indicated for veneers, and thin veneers. IPS e.max Press has a flexural strength of 400MPa in its monolithic form.11,12 Meaning it is easily twice as strong as the porcelain- fused-to-metal counterpart. With more than 200 ingots, it offers the doctor the ability to provide an opaque restoration when there are underlying dark preps or metal, as well as a translucent restoration when matching natural tooth structure.

An additional benefit of IPS e.max is that it can be fabricated with a micro-cut back in anterior teeth. This allows for an aesthetic result of a cut back and layered restoration, while the lingual of the restoration can be kept in its monolithic form. The result is the lingual/palatal side of the anterior restoration providing a shear strength of 400MPa. This design is helpful in restoring patients with signs of anterior attrition/bruxism where the doctor is seeking an aesthetic result while still maintaining strength.

IPS e.max Press is indicated for (thin) veneers, minimally invasive inlays/onlays, partial crowns, full coverage crowns, bridges in the anterior and premolar region and implant superstructures. IPS e.max cannot be used for bridgework with pontic sites greater than 11mm and is contraindicated in large span anterior bridgework or bridgework replacing molars.

Cementation of this material offers the option of conventional cementation, adhesive cements and self-adhesive cements. If the material is less than 1.5mm in thickness, however, an adhesive cement should be used in order to achieve the reported shear strength.13

This is the material of choice in my office for functional cusp onlays, all single-unit posterior restorations, select single-unit anterior crowns, extensive cosmetic rehabilitations in patients with moderate to severe wear/erosion/attrition, single pontic anterior bridgework and select premolar pontic bridgework.

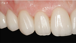
Leucite-reinforced

Current example: IPS Empress (Fig. 4)

IPS Empress is by far the all-ceramic that has been around the longest, and has the longest research history out of the current choices. It has been widely viewed by most cosmetic dentists as the material of choice when demanding a superior aesthetic result. Over time, this might be slowly losing its stronghold on the most aesthetic material available due to the rise in popularity, and increase in ingot selection of IPS e.max. Still most dentists feel that when one is currently working toward a bleach shade for the desired final restoration, IPS Empress offers the most natural appearance when dealing with a light preparation shade.

It is indicated for premolar and anterior full-coverage restorations, inlays, non-functional cusp onlays, (thin) veneers and partial crowns. IPS Empress offers a shear strength of 185MPa in its monolithic form and approximately 115-150MPa in cut back and layered restorations. Cementation of this product should be completed with an adhesive cement. This is the material of choice in my office for select single anterior crowns, inlays and non-functional cusp onlays, veneers, thin veneers, and cosmetic rehabilitations of anterior and premolar units.

Given the current research available,2,3,4,14 although monolithic zirconium shows promise, more long-term wear compatibility studies are necessary prior to indicating its use in restorations opposing natural tooth structure. It has shown to be a good option for replacement of metal substructures in anterior and posterior bridgework.5,7,9,10 Lithium disilicate (IPS e.max Press) has shown great potential to be the single all-ceramic choice for your office with a variety of indications, wear compatibility of opposing natural dentition, strength, aesthetics and long-term success.15,16,17,18,19

References
  1. Wear of Enamel Antagonist to Ceramic Surfaces. T Ghuman, P.Beck, L.C. Ramp, D. Cakir, and J. Burgess. J Dent Res, 2010.
  2. Dent Mater. 2012 Aug;28(8):909-18. Epub 2012 May 18.Wear behavior of dental Y-TZP ceramic against natural enamel after different finishing procedures. Mitov G, Heintze SD, Walz S, Woll K, Muecklich F, Pospiech P.
  3. J Mech Behav Biomed Mater. 2012 Jun;10:13-22. Epub 2012 Mar 14. Wear performance of dental ceramics after grinding and polishing treatments. Preis V, Behr M, Handel G, Schneider-Feyrer S, Hahnel S, Rosentritt M.
  4. Human Enamel Wear Against Four Dental Ceramics In Vitro G. Basunbul, Department of Restorative Sciences & Biomaterials, Boston University, Boston, MA, and D. Nathanson, Dept of Restorative Sciences Biomaterials, Boston University, Boston, MA
  5. Dent Mater. 2011 Jan;27(1):83-96. Epub 2010 Nov 21. From porcelain-fused-to-metal to zirconia: clinical and experimental considerations. Zarone F, Russo S, Sorrentino R.
  6. JADA 2011;142(6):668-671 Gordon J. Christensen. The all-ceramic restoration dilemma: Where are we?
  7. Christensen RP, Ploeger BJ. A clinical comparison of zirconia, metal and alumina fixed-prosthesis frameworks veneered with layered or pressed ceramic: a three-year report. JADA 2010;141(11):1317-1329.
  8. Groten M, Huttig F. The performance of zirconium dioxide crowns: a clinical follow-up. Int J Prosthodont 2010;23(5):429-431.
  9. Heintze SD, Rousson V. Survival of zirconia-and metal-supported fixed dental prostheses: a systematic review. Int J Prosthodont 2010;23(6):493-502.
  10. Larsson C, Vult von Steyern P. Five year follow-up of implant-supported Y-TZP and ZTA fixed dental prostheses: a randomized, prospective clinical trial comparing two different material systems. Int J Prosthdont 2010;23(6):555-561
  11. Int J Prosthodont.2010 Sep-Oct;23(5):434-42.Monolithic CAD/CAM lithium disilicate versus veneered Y-TZP crowns: comparison of failure modes and reliability after fatigue.Guess PC, Zavanelli RA, Silva NR, Bonfante EA, Coelho PG, Thompson VP.
  12. E.max strength
  13. J Adhes Dent. 2012 Feb;14(1):7-10. doi: 10.3290/j.jad.a22708. Bonding lithium disilicate ceramic to feather-edge tooth preparations: a minimally invasive treatment concept. Cortellini D, Canale A.
  14. Dent Mater. 2012 Apr;28(4):449-56. Epub 2011 Dec 22. In vitro performance of full-contour zirconia single crowns. Beuer F, Stimmelmayr M, Gueth JF, Edelhoff D, Naumann M.
  15. J Am Dent Assoc. 2011 Apr;142 Suppl 2:4S-9S. Comparative reliability analyses of zirconium oxide and lithium disilicate restorations in vitro and in vivo. Silva NR, Thompson VP, Valverde GB, Coelho PG, Powers JM, Farah JW, Esquivel-Upshaw J.
  16. J Prosthet Dent. 2010 Feb;103(2):80-90.Three-year clinical evaluation of two ceramic crown systems: a preliminary study. Etman MK, Woolford MJ.
  17. A Clinical Evaluation of Chairside Lithium Disilicate CAD/CAM Crowns A Two-Year ReportDennis J. Fasbinder, DDS, Joseph B. Dennison, DDS, MS, Donald Heys, DDS, MS and Gisele Neiva, DDS, MS
  18. Clinical outcome of three-unit lithium-disilicate glass-ceramic fixed dental prostheses: Up to 8 years results S Wolfart, S Eschbach, S Scherrer, M Kern - Dental Materials, 2009
  19. Clinical results of lithium-disilicate crowns after up to 9 years of service M Gehrt, S Wolfart, N Rafai, S Reich... - Clinical oral investigations, 2012
Author's Bio
Dr. John Nosti practices full-time in Mays Landing and Somers Point, New Jersey, and part-time in Manhattan, New York with an emphasis on functional cosmetics, full-mouth rehabilitations and TMJ dysfunction. Dr. Nosti's down-to-earth approach and ability to demystify occlusion and all-ceramic dentistry has earned him distinction among his peers. He is privileged to instruct and mentor live-patient and hands-on programs with the Clinical Mastery Series and Dr. David Hornbook. He has lectured nationally on occlusion, rehabilitations and technology. He is a member of the American Dental Association, American Academy of Cosmetic Dentistry and American Academy of Craniofacial Pain. Dr. Nosti also holds fellowships in the Academy of General Dentistry and the Academy of Comprehensive Esthetics.
Sponsors
Townie Perks
Townie® Poll
Do you routinely screen adult patients for sleep-disordered breathing or obstructive sleep apnea?
  
The Dentaltown Team, Farran Media Support
Phone: +1-480-445-9710
Email: support@dentaltown.com
©2026 Dentaltown, a division of Farran Media • All Rights Reserved
9633 S. 48th Street Suite 200 • Phoenix, AZ 85044 • Phone:+1-480-598-0001 • Fax:+1-480-598-3450