Case Profile: Fastbraces

Categories: Orthodontics;
Case Profile: Fastbraces 

A case report using only Fastbraces brackets and a single archwire


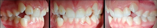
The Fastbraces Technology bracket systems have reduced orthodontic treatment durations to as little as 60–90 days. The case presented here (Figs. 1–5) is a 16-year-old female with a Class I occlusion on both sides, moderate crowding, and an open bite tendency. Interarch vertical elastics were used throughout the treatment.

Fixed retainers were placed on both the upper and lower lingual surfaces canine to canine when the brackets were removed (Fig. 6).

Panoramic radiographs (Fig. 7) and maxillary occlusal views show the corrected orthoerupted position of the canines with root parallelism in 71 days.

The science of straightening teeth has come a long way since its inception and Fastbraces Technology is an example of the continued evolution of orthodontic treatments.
Case Profile: Fastbraces
Fig. 1: Case presented
Case Profile: Fastbraces
Fig. 2: March 28
Case Profile: Fastbraces
Fig. 3: April 11
Case Profile: Fastbraces
Fig. 4: April 25
Case Profile: Fastbraces
Fig. 5: May 16
Case Profile: Fastbraces
Fig. 6: June 6
Case Profile: Fastbraces
Fig. 7: Panoramic radiographs before and after

This content is sponsored by Fastbraces.
For more information, visit fastbraces.com.


Sponsors
Townie Perks
Townie® Poll
Do you routinely screen adult patients for sleep-disordered breathing or obstructive sleep apnea?
  
The Dentaltown Team, Farran Media Support
Phone: +1-480-445-9710
Email: support@dentaltown.com
©2026 Dentaltown, a division of Farran Media • All Rights Reserved
9633 S. 48th Street Suite 200 • Phoenix, AZ 85044 • Phone:+1-480-598-0001 • Fax:+1-480-598-3450