Clinical Case Spotlight: Nonextraction Nonexpander Treatment by Drs. Evangelia Dartzalopoulou and Anthony Viazis

Categories: Orthodontics;
Clinical Case Spotlight: Nonextraction Nonexpander Treatment 

Using only Fastbraces brackets and one archwire in 123 days


by Drs. Evangelia Dartzalopoulou and Anthony Viazis


The case presented here is a 15-year-old male with severely crowded dentition and both maxillary canines completely blocked out of the dental arch. He had a Class II occlusion on the right, a Class I relation on the left, and a normal overbite/overjet relationship of the incisors (Fig. 1).
Clinical Case Spotlight: Nonextraction Nonexpander Treatment
Fig. 1: Initial records

The patient was treated by the first author without palatal expander or extractions, in 123 days, using only Fastbraces brackets and one square wire from start to finish in each arch. Intra-arch elastic power chains were used to close spaces or rotate teeth, and interarch vertical elastics were used throughout the treatment.

Typical treatments for such cases commonly recommended in the literature and by other clinicians are either extraction of the upper first premolars or expansion of the maxillary arch with an expander, followed by fixed appliances. It was decided to not pursue either of the above approaches and instead use a nonextraction, nonexpansion approach with the Fastbraces Technology bracket system, which has reduced orthodontic treatment durations to as little as 60–90 days.

October
Treatment began Oct. 3 with brackets and wires in the upper and lower arches. Small lower incisor brackets were placed incisally on the upper canines for patient comfort. Triangular elastics were given for 24/7 wear from the upper first premolars to the lower first and second premolars. The goal was to upright or orthoerupt the roots of the canines towards their final position from the outset of treatment as if the teeth erupted in that position naturally. This is possible because Fastbraces Technology bracket systems promotes alveolar bone remodeling and restores the dental arch to its natural size and shape for each patient (Fig. 2).
Clinical Case Spotlight: Nonextraction Nonexpander Treatment
Fig. 2: Oct. 3; brackets placed

On Oct. 18, power chains were placed from the upper first molars to the upper canines on each side. Root torque from the square wire facilitated alveolar bone remodeling from the onset of therapy (Fig. 3).
Clinical Case Spotlight: Nonextraction Nonexpander Treatment
Fig. 3: Oct. 18

On Oct. 29, a new power chain was given on the right side, while the regular canine bracket was placed on the upper left canine without a chain. The treating clinician addressed the poor oral hygiene with the patient (Fig. 4).
Clinical Case Spotlight: Nonextraction Nonexpander Treatment
Fig. 4: Oct. 29

December
On Dec. 6, the regular canine bracket was placed on the upper right canine. Interproximal reduction was done between the upper premolars, followed by a power chain from the upper first molars on both sides. Another power chain was placed from one upper lateral incisor to the other. A gingivectomy was performed canine to canine. The patient was given elastics to wear in a triangular shape from the upper canine to the lower canine and the lower first premolar (Fig. 5).
Clinical Case Spotlight: Nonextraction Nonexpander Treatment
Fig. 5: Dec. 6

January
On Jan. 9, a gingivectomy was performed on the maxillary arch molar to molar. Canines were nearly aligned. The unique elbow design of Fastbraces brackets continuously adjusts wire flexibility as the teeth move. This allows for orthoeruption, or the uprighting of displaced roots into a straight position as if the tooth erupted naturally. This influences the alveolar bone morphology around malaligned teeth. Fastbraces treatment relies on balanced light pressure and tension, delivering low forces with minimal discomfort (Fig. 6). Notably, the inventor never prescribed pain medication to patients.
Clinical Case Spotlight: Nonextraction Nonexpander Treatment
Fig. 6: Jan. 9wear

On Jan. 20, a power chain was placed on the upper arch molar to molar. The patient made good progress closing the open bite with the vertical elastics in the canine area (Fig. 7).
Clinical Case Spotlight: Nonextraction Nonexpander Treatment
Fig. 7: Jan. 20

On Jan. 27, lacing was applied molar to molar on the upper arch with a ligature wire. The canines reached their natural position in the dental arch (Fig. 8).
Clinical Case Spotlight: Nonextraction Nonexpander Treatment
Fig. 8: Jan. 27

February
On Feb. 3, the Fastbraces were removed and lingual fixed retainers were cemented from canine to canine in both arches. The case finished with the canines in a Class I relation and an ideal overbite/overjet relationship. The patient was very happy with the result (Fig. 9).
Clinical Case Spotlight: Nonextraction Nonexpander Treatment
Fig. 9: Feb. 3; final results

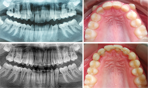
Before and after
Panoramic radiographs and maxillary occlusal views show the corrected orthoerupted position of the canines with root parallelism in 123 days (Fig. 10).
Clinical Case Spotlight: Nonextraction Nonexpander Treatment
Fig. 10: Before and after; 123 days treatment time

The science of straightening teeth has come a long way since its inception and Fastbraces Technology is an example of the continued evolution of orthodontic treatments.

This content is sponsored by Fastbraces.
For more information, visit fastbraces.com.


Author Bios
Dr. Evangelia Dartzalopoulou Dr. Evangelia Dartzalopoulou, a general dentist, practices in Thessaloniki, Greece, and received her dental degree from the Aristotle University of Thessaloniki Dental School.





Dr. Anthony D. Viazis Dr. Anthony D. Viazis, the founder of Fastbraces, is a Dallas-based orthodontist. Viazis holds dental degrees from the University of Athens and at Baylor College of Dentistry, and earned a Master of Science and his graduate certificate in orthodontics at the University of Minnesota (UMN). He has held academic faculty positions at UMN, Baylor and the University of Southern California, and also served as a visiting professor at the University of São Paulo.





Sponsors
Townie Perks
Townie® Poll
Do you routinely screen adult patients for sleep-disordered breathing or obstructive sleep apnea?
  
The Dentaltown Team, Farran Media Support
Phone: +1-480-445-9710
Email: support@dentaltown.com
©2026 Dentaltown, a division of Farran Media • All Rights Reserved
9633 S. 48th Street Suite 200 • Phoenix, AZ 85044 • Phone:+1-480-598-0001 • Fax:+1-480-598-3450