Whitening Emulsions: A Case Study by Dr. Jeanette MacLean

Categories: Cosmetic Dentistry;
Whitening Emulsions: A Case Study 

Is the latest option for at-home whitening worth recommending to patients?


by Dr. Jeanette MacLean


Patients’ desire for whiter teeth has exploded in recent years, leading to a wide variety of tooth-whitening products on the market in both professionally applied and over-the-counter formulations.

Certain drawbacks to whitening may leave some patients hesitant to initiate treatment, however—professional treatments may be cost-prohibitive or require additional appointments, at-home products may seem ineffective and tooth sensitivity is of concern in both treatment options. An affordable, convenient system that does not cause sensitivity is desired.

An over-the-counter whitening product with a novel delivery system was evaluated in this case study.

Patient information: When a 26-year-old patient presented for a routine hygiene visit, she expressed interest in having whiter teeth for her upcoming wedding. She was in overall good oral health, with a history of braces as a teenager and no significant medical issues. The patient was invited to participate in a research study of a new athome whitening product.

Selection criteria: Over age 18; good general health; nonsmoker; generally healthy periodontium, with no restorative or periodontal needs; no anterior restorations; had a professional prophy less than six months before the start of evaluation; interested in take-home whitening; and has a tooth color suitable for whitening.

Exclusion criteria: Active treatment for gingivitis, periodontitis or caries; pregnant or plan to become pregnant during the study; previous whitening within five years; fixed orthodontic appliances on maxillary teeth; malocclusion of maxillary anterior teeth that would affect treatment or imaging; severe or atypical intrinsic stain such as tetracycline, fluorosis or hypocalcification; undergoing cancer or photochemotherapy treatment; history of melanoma, light sensitivity or pigmentation skin disorders; inability to undergo imaging or any other study procedures; or any condition or disease that could be expected to interfere with the study.

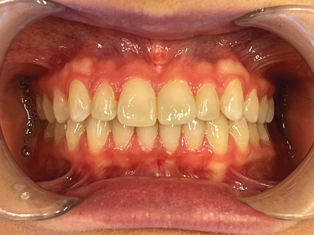
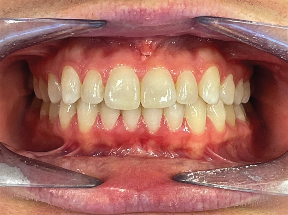
Pretreatment assessment: A baseline enamel shade of was recorded using the VITA Toothguide 3D-Master shade guide. The patient’s pretreatment shade was 3M2. Informed consent was obtained, pretreatment photographs (Figs. 1a and 1b) were taken and the patient was provided a tube of the whitening product, an applicator and a LED light accelerator.
Whitening Emulsions: A Case Study
Fig. 1a
Whitening Emulsions: A Case Study
Fig. 1b

Materials: Highly active peroxide droplets in a water-resistant hydrating base to protect teeth from sensitivity. The product (Crest Whitening Emulsions, P&G) contains petrolatum, water, hydrogen peroxide, flavor, sucralose and sorbitan palmitate.

Procedure: The patient was instructed to squeeze the tube to dispense the emulsion material onto a wand applicator, covering the entire tip, and then to apply the emulsion directly and liberally, covering all surfaces of the teeth (Fig. 2), using as many coats as needed to fully cover all the teeth she wanted to whiten. She was told to avoid eating or drinking for 30 minutes after application.

Whitening Emulsions: A Case Study
Fig. 2

To enhance the whitening effects, the patient was instructed to use the LED accelerator light by pressing two buttons on the side of the light simultaneously, releasing the buttons, then holding the light against her teeth for three minutes or until the light turned off. She was told to repeat the application up to four times a day, for a minimum of 36 applications within four weeks.

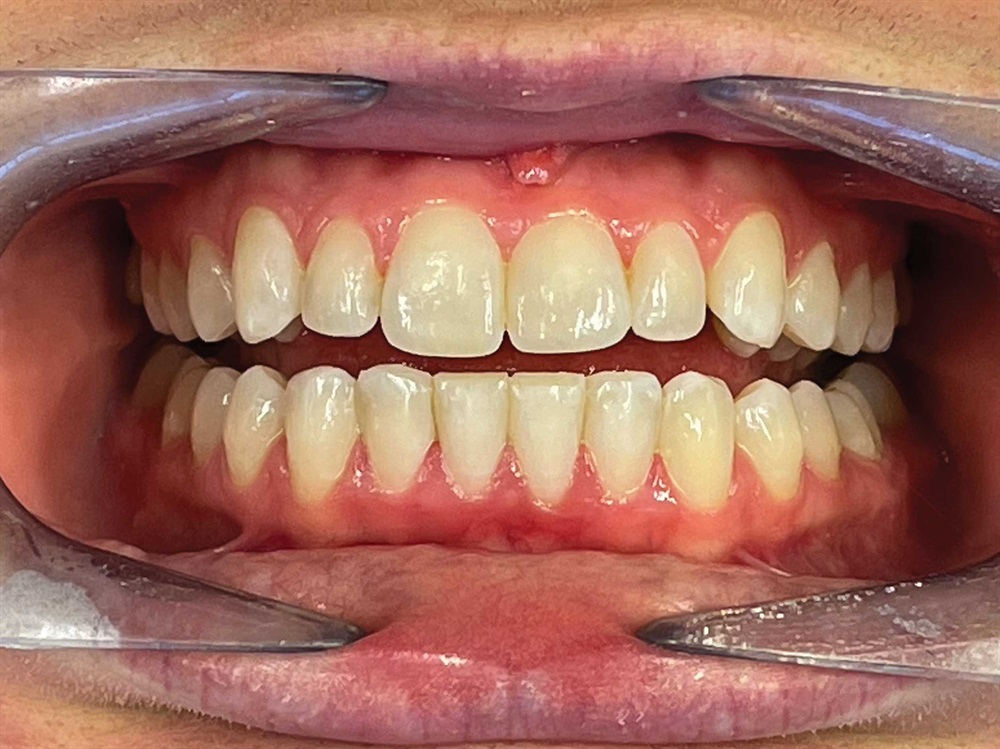
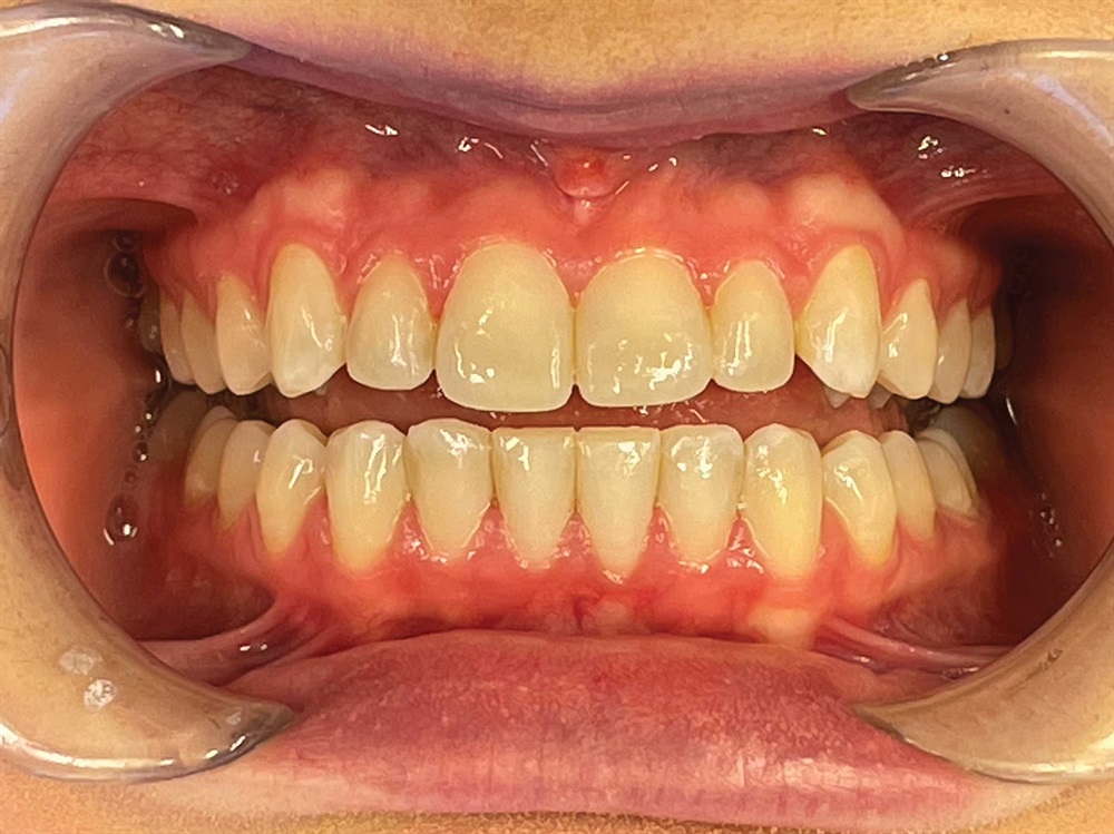
Follow-up assessment: The patient returned after two weeks (14 days), and a posttreatment enamel shade was recorded using the same VITA shade guide. The patient’s shade was now 1M2 (Figs. 3a and 3b). The patient said she was able to apply the whitening product three times a day and used the LED accelerator twice a day. She reported zero hypersensitivity and was very happy with the outcome of whiter teeth (Fig. 4).
Whitening Emulsions: A Case Study
Fig. 3a
Whitening Emulsions: A Case Study
Fig. 3b

Whitening Emulsions: A Case Study
Fig. 4

Conclusions: A peroxide-based whitening product in a hydrating base medium is an excellent over-the-counter option for patients to whiten their teeth conveniently and affordably without inducing sensitivity. This offers a nice alternative to other products currently on the market such as brush-on pens, strips and trays.

Author disclosure: This research was supported by P&G.


Check out Dr. Jeanette MacLean’s online CE course on minimally invasive treatment for enamel defects

The author of this case study, Dr. Jeanette MacLean, used Icon resin infiltration treatment on this same patient’s maxillary incisors back in 2014—which illustrates Icon’s stable long-term results and the ability to whiten teeth after they’ve been treated.
To learn more and earn 1.5 CE credits, check out MacLean’s online CE course Less Is More: Minimally Invasive Cosmetic Treatment Options for Enamel Defects here.


Author Bio
Author Dr. Jeanette MacLean, a member of Dentaltown’s editorial advisory board, is a private practice pediatric dentist and the owner of Affiliated Children’s Dental Specialists in Glendale, Arizona.
Sponsors
Townie Perks
Townie® Poll
Do you routinely screen adult patients for sleep-disordered breathing or obstructive sleep apnea?
  
The Dentaltown Team, Farran Media Support
Phone: +1-480-445-9710
Email: support@dentaltown.com
©2026 Dentaltown, a division of Farran Media • All Rights Reserved
9633 S. 48th Street Suite 200 • Phoenix, AZ 85044 • Phone:+1-480-598-0001 • Fax:+1-480-598-3450