Adhesion in Primary Dentition Restorative Dentistry by Carla Cohn, DMD

Dentaltown Magazine
by Carla Cohn, DMD

Introduction
Dental caries is widespread in the pediatric population and has been identified as the most common chronic disease affecting U.S. children.1

Data from the 2011–2012 National Health and Nutrition Survey reports that roughly 37 percent of children ages 2–8 and nearly 56 percent of 6-to-8-year-olds have experienced caries in primary teeth.2 Dental caries remains a significant problem to which we devote a great deal of time and effort.

Unique challenges of child patients
Restorative treatment for pediatric patients brings unique challenges. Children's behavior can be unpredictable at times and we must be prepared to work under conditions that are less than ideal. We must simultaneously manage the tooth, the patient and the parent—the outcome of a successful restorative appointment is the combination of an excellent restoration, a happy and comfortable patient and a satisfied parent.

The patient/parent experience can be measured only qualitatively, but clinical success of the appointment can be measured quantitatively. Both the patient and parent experience and clinical success are affected by many factors: size and location of the carious lesion, risk factors, dental age, patient compliance and, of course, operator skill and technique.

With so many variables to consider and manage to achieve success, it's imperative to use excellent technique and quality materials.

Use of resin-based composite in pediatric dentistry
Restorative material choices for pediatric patients are vast and varied, and we use professional judgment and experience to determine which materials to use in which clinical situations.

Resin-based composites are popular and widely used in North America for restorative dentistry.3 The most recent Pediatric Restorative Dentistry Consensus Conference, in 2015, updated the recommendations for the use of resin-based composites in children.4,5

The final documents for use of resin-based composites in primary teeth advises: Use in an adequately isolated environment in small pits and fissures; occlusal surfaces; Class II lesions that do not extend beyond the line angles; Class III, IV and V lesions; and strip crowns.6 Lesions that are to be restored with resin-based composites require a dry field and must be prepared conservatively to expect long-term success.

Adhesive systems: Total-etch versus self-etch
Resin-based composites are used in conjunction with adhesives. Dental adhesives have evolved over the years from multiple-bottle total-etch systems to current self-etch systems. Older total-etch generations of adhesives require pre-etching with phosphoric acid and are more technique-sensitive than self-etch systems.

Total-etch challenges are sensitive to postoperative discomfort and technique. Phosphoric acid etching of dentin can lead to removal of the smear layer and can lead to postoperative sensitivity. Additionally, in total-etch systems in which technique sensitivity is high, the tooth must be dried so that the enamel appears frosty, yet the dentin must remain moist. On any patient, child or adult, how can we determine accurately how truly wet or dry the tooth is?

Self-etch adhesives are reported to have challenges with staining and marginal leakage because of enamel that hasn't been etched with phosphoric acid. This can be remedied easily by using a selective-etch technique, which etches only the enamel surface with phosphoric acid, then proceeds with the self-etch adhesive over the entire surface of the tooth to be bonded.

Newer simplified self-etch materials have milder acids incorporated into the system and do not require phosphoric acid etching. Self-etch adhesives that eliminate the "etch, wash and dry" step streamline the adhesive portion of the restorative process.

Efficacy of total-etch versus self-etch adhesives has been the subject of much debate. According to one study on primary enamel that compared total-etch versus self-etch systems in vitro, no statistically significant difference was found in efficacy.7,8 A study comparing microleakage and beveling versus nonbeveling of cavo-surface margins, as well as total-etch and self-etch systems to primary and permanent teeth, found less microleakage with total-etch systems. However, the effect of the beveled or nonbeveled cavo-surface margin was of greater significance in reducing microleakage than the type of adhesive system used.9

Given the simplicity of use of self-etch universal systems and similar efficacy, for pediatric patients, a simpler choice of a self-etch adhesive is the better choice.

Use of adhesives in primary enamel in pediatric dentistry
Can it be assumed that primary and permanent tooth structure behave similarly?

Manufacturer directions for use of adhesives don't differentiate between primary and permanent tooth structures. There are no products in existence for use solely on primary teeth. We must ask if the morphology of primary versus permanent teeth warrants a difference in technique for adhesion, but clinical studies of primary dentition adhesion are scarce.10,11

In the available literature, an aprismatic zone is reported in primary enamel. An aprismatic zone is more highly mineralized because of the perpendicular alignment of the crystals, and a longer etching time has been suggested as being required.12 That zone has been reported as inconsistent, however, and reported frequency and distribution ranges from less than 20 percent to as much as 100 percent.13–15 Several studies do show that bond strength, in general, interfacial micromorphology and adaptation to primary and permanent enamel and dentin are similar in primary and permanent teeth.16–26

Techniques using universal self-etch adhesives
Use of universal self-etch adhesives in pediatric dentistry offer many advantages to dentists and patients. Universal self-etch adhesives offer flexibility of technique. Universal self-etch adhesives work well with multiple clinical procedures: self-etch technique (otherwise called non-etch technique), total-etch technique and selective-etch techniques.

The self-etch technique is particularly useful for noncompliant patients, when a phosphoric acid etch and a thorough wash-and-dry simply can't be accomplished because of lack of isolation or cooperation. Total-etch technique is compatible with universal adhesives because the acidity of the monomer is mild and overetching will not occur. The selective-etch technique of phosphoric acid etching on the enamel only shows very favorable increased bond strengths with universal self-etch adhesives.27,28

Mechanism and reliable use of self-etch adhesive
Futurabond U by Voco is a universal self-etch adhesive supplied in a single-dose system. The distinct advantages of a single-dose system include a consistent mix and reliable chemistry each time a package is opened, as well as superior infection control.

With multibottle or single-bottle systems, results can be unpredictable, depending on whether the bottle has been shaken properly, how much product is dispensed and, thanks to the evaporation of solvent after a bottle's been opened, the changed chemistry of the product when the bottle is almost empty.

To understand the mechanism of bonding, we must understand the properties of the tooth structure and the resin composite to which we are bonding. Tooth structure is inherently wet so, even when it's etched and dried, moisture will seep up from dentinal and crevicular fluids.

Resin composite is completely hydrophobic. We require an adhesive that can perform in both hydrophilic (water-loving) and hydrophobic (water-hating) manners. Futurabond U contains acidic monomers, pH 2.3, which offer two polarities on the same molecule. The polarities are hydrophilic on one end to allow a bond to the hydrophilic tooth structure, and hydrophobic on the other to allow bond to the hydrophobic composite.

The acidic monomer etches the enamel surface of the tooth structure by dissolving calcium ions out of the hydroxyapatite and creates microtags, or a roughened surface. Then the monomer can attach to the enamel surface. The action of the acidic monomer to dentin is different. The acidic monomer applied to dentin causes calcium to be dissolved—the dentin tubules are now opened and collagen fibers are exposed.

Futurabond U creates a hybrid layer on the dentin. During this process, the acidic product will rise to a neutral level. Gently air-drying for five seconds will evaporate the solvents, which are composed of water and ethanol, from the adhesive and fix the hybrid layer. Light-cure for 10 seconds with a minimum of 500 milliwatts per square centimeter. The light cure activates cross-linking monomers that connect the acidic adhesive monomers to the composite.

Clinical case 1
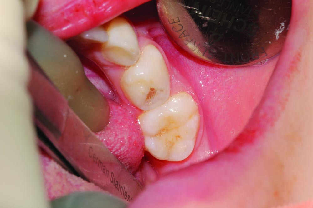
A 3-year-old patient presented with multiple carious lesions in all quadrants. Dental restorations were carried out with patient under general anesthetic. Quadrant 4, teeth #84 (S) and #85 (T) each were cavitated on the occlusal surface into dentin (Fig. 1).

The quadrant was isolated with an 8A ivory clamp and slot-style rubber dam, and a conservative outline was prepared using an NSK high-speed handpiece and a 330 FG bur. Caries was excavated with an NSK slow-speed handpiece and 6 and 8 round burs (Fig. 2) followed by a selective-etch technique with phosphoric acid (Fig. 3).

Futurabond U was applied to the preparation and the entire occlusal surface (Fig. 4). Teeth were restored with Admira Fusion by Voco, an all-ceramic-based universal restorative material, then shaped and light-cured before a final layer of Admira Fusion Flow was placed over the entire occlusal surface to act as a sealant for any additional pits and fissures on the occlusal surface, as seen in the final completed restorations (Fig. 5).

  • Figure 1

  • Figure 2

  • Figure 3

  • Figure 4

  • Figure 5

  • Figure 6

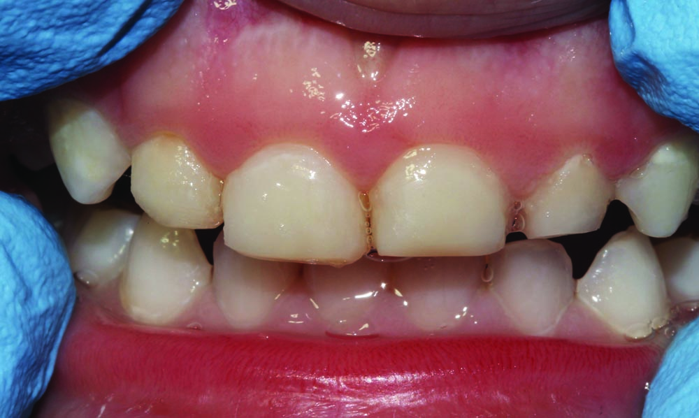
Clinical case 2
A shy and apprehensive 3-year-old female patient presented with multiple caries in all quadrants. To keep the patient's in-office experience positive, all posterior teeth were restored with a combination of atraumatic restorative techniques and minimally invasive techniques.

Maxillary anterior incisors #52–#62 (D–G) all exhibited varying depths of decay and required restoration (Fig. 6). Only topical anesthetic was used, and the area was isolated with cotton rolls. Teeth were minimally prepared into enamel only with an NSK high-speed handpiece and a tapered rough grit diamond FG bur.

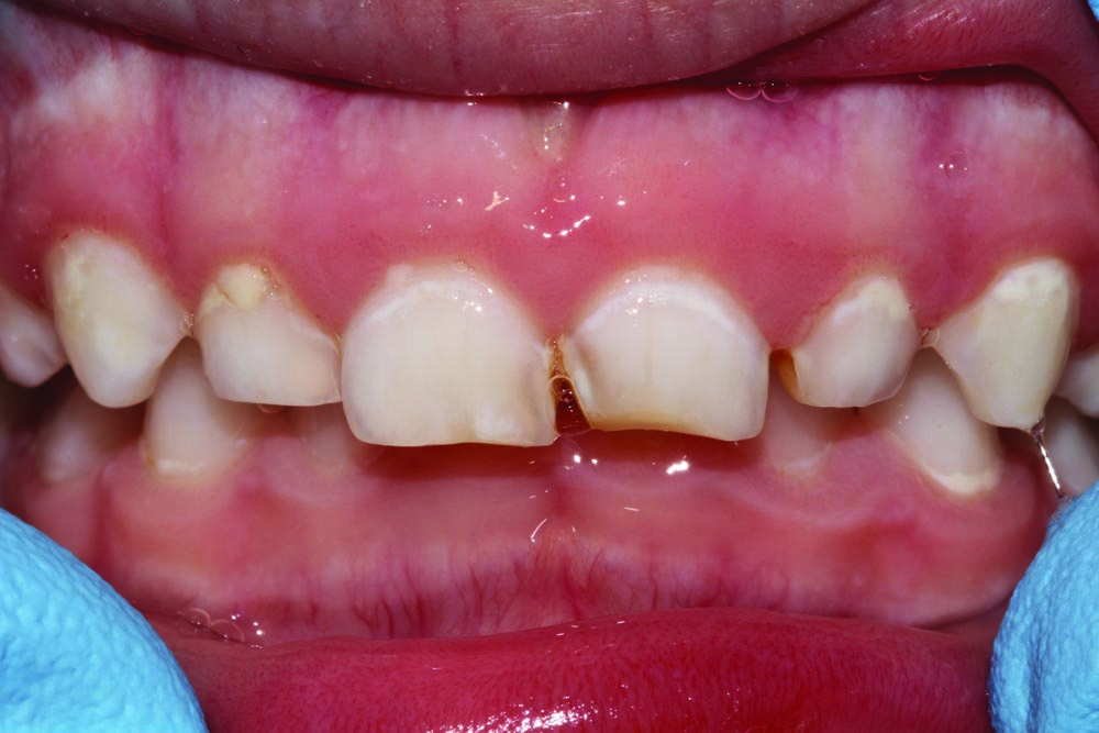
Caries was excavated with a spoon excavator (Fig. 7). Because isolation was a challenge, all surfaces of affected teeth were bonded with a self-etch procedure using Futurabond U and then light-cured (Fig. 8). Celluloid strip crowns were fitted and vented, filled with GrandioSO by Voco, seated and light-cured.

Celluloid strips were removed and composite strip crowns were polished with Enhance polishing cups by Dentsply. Final restorations are functional and aesthetic (Fig. 9). Because of the process of minimally invasive technique and adaptable materials, it was possible to carry out this procedure in office without local anesthetic, resulting in a successful restorative outcome and a positive patient experience.

  • Figure 7

  • Figure 8

  • Figure 9

Conclusion
Treating children can lead to unique challenges. More than any other aspect of dentistry, when we work with children we must create a balance. We must achieve clinical success and are always aware of creating a good experience for patient and parent.

Everyone will have situations in which cooperation may be limited, and we must be able to still complete a procedure. Having materials that can be adaptable to different situations, more forgiving in an environment where isolation may not be ideal, materials that we can work quickly and efficiently with are absolutely necessary. At the end of the day, what we all strive for is a good day, in every sense of the word.

 

References

  1. Chalmers N, Scoville R, Richman A, Crall J, Aravamudhan K, Ng M. Improving Quality in Dentistry: An Imperative for the Profession. Pediatric Dentistry V 38 / NO 4 JUL / AUG 16
  2. Dye BA, Thornton-Evans G, Li X, Iafolla TJ. Dental caries and sealant prevalence in children and adolescents in the United States, 2011–2012. NCHS data brief, no 191. Hyattsville, MD: National Center for Health Statistics; 2015.
  3. Varughese R, Andrews P, Sigal M, Azarpazhooh A. An Assessment of Direct Restorative Material Use in Posterior Teeth by American and Canadian Pediatric Dentists: I. Material Choice. Pediatric Dentistry V 38 / NO 7 NOV / DEC 16
  4. Donly KJ, Garcia-Godoy. The use of resin-based composite in children. Pediatric Dent 2002;5:480-88.
  5. Burgess JO, Walker R, Davidson JM. Posterior resin-based composite: review of the literature. Pediatric Dent 2002;5: 465-79.
  6. Donly K, Garcia Godoy F, The Use of Resin-based Composite in Children: An Update, Pediatric Dentistry V 37 / NO 2 MAR / APR 15
  7. Stalin A, Varma BR, Jayanthi. Comparative evaluation of tensile-bond strength, fracture mode and microleakage of fifth, and sixth generation adhesive systems in primary dentition. J Indian Soc Pedod Prev Dent 2005;23:83-8
  8. Abdalla A, El Zohairy AA, Abdel Mohsen MM, Feilzer AJ. Bond efficacy and interface morphology of self-etching adhesives to ground enamel. J Adhes Dent. 2010 Feb;12(1):19-25
  9. Swanson TK, Feigal RJ, Tantbirojn D, Hodges JS. Effect of Adhesive Systems and Bevel on Enamel Margin Integrity in Primary and Permanent Teeth, Pediatric Dentistry V 30 / NO 2 MAR / APR 08
  10. Donly K, Garcia Godoy F, Dentin-Enamel Adhesives in Pediatric Dentistry: An Update, Pediatric Dentistry V 37 / NO 2 MAR / APR 15
  11. Swift EJ Jr, Dentin/enamel adhesives: review of the literature. Pediatric Dentistry. 2002 Sep-Oct;24(5):456-61.
  12. Nozaka K, Suruga Y, Amari E. Microleakage of composite resins in cavities of upper primary molars. Int J Pediatr Dent 1999;9:185-94.
  13. Ripa LW Gwinnett AJ, Buonocore MG. The "prismless" outer layer of deciduous and permanent enamel. Arch Oral Bio 1966;11:41-8.
  14. Kodaka T, Nakajima F, Higashi S. Structure of the so-called "prismless" enamel in human deciduous teeth. Caries Res 1989;23:290-6.
  15. Robinson C, Kirkham J, Shore R. Dental Enamel: Formation to Destruction. New York, NY: CRC Press Inc; 1995
  16. Fagan TR, Crall JT, Jensen ME, et al. A comparison of two dentin bonding agents in primary and permanent teeth. Pediatr Dent 1986;8:144-6.
  17. Bordin-Avkroyd S, Sefton J, Davies EH. In vivo bond strengths of 3 current dentin adhesives to primary and permanent teeth. Dent Mater 1992;8:74-8.
  18. Araujo FB, Garcia-Godoy F, Issao M. A comparison of 3 resin bonding agents to primary tooth dentin. Pediatr Dent 1997;19:253-7.
  19. Malferrari S, Finger WJ, Garcia-Godoy F. Resin bonding efficacy of Gluma 2000 to primary dentine. Int J Paediatr Dent 1995;5:73-80.
  20. Salama FS. Gluma bond strength to the dentin of primary molars. J Clin Pediatr Dent 1994;19:35-40.
  21. Elkins CJ, McCourt JW. Bond strength of dentinal adhesives in primary teeth. Quintessence Int 1993;24:271-3.
  22. MacLean S, McCourt JW, Chan DCN. Shear bond strengths of dentinal adhesives co-primary dentin [abstract 2270]. J Dent Res 1993;72:387.
  23. Salama, FS, Tao L. Gluma bond strength to primary versus permanent teeth. Pediatr Dent 1991;13:163-6.
  24. Vashisth P, Mittal M, Goswani M, Chaudhary S, Dwive- di S. Bond strength and interfacial morphology of different dentin adhesives in primary teeth. J Dent (Tehran) 2014;11:179-87
  25. El-Kalla IH, Garcia-Godoy F. Bond strength and inter- facial micromorphology of compomers in primary and permanent teeth. Int J Paediatr Dent 1998;8:103-14.
  26. Nor JE, Feigal RJ, Dennison JB, Edwards CA. Dentin bonding: SEM comparison of the resin-dentin interface in primary and permanent teeth. J Dent Res 1996;75: 1396-403.
  27. Larissa Lenzi, T, de Almeida Brandão Guglielmi, C, Balvedi Umakoshi, C, Prócida Raggio, D. One-step Self-etch Adhesive Bonding to Pre-etched Primary and Permanent Enamel pp. 57-61(5) Journal of Dentistry for Children,Volume 80, Number 2, May-August 2013
  28. Feltrin Antoniazzi, B, Ferreira Nicoloso, G, Larissa Lenzi, T, Maxnuck Soares, F, de Oliveira Rocha, R. Selective Acid Etching Improves the Bond Strength of Universal Adhesive to Sound and Demineralized Enamel of Primary Teeth. Journal of Adhesive Dentistry . 2016, Vol. 18 Issue 4, p 311-316.

Author Dr. Carla Cohn is a general dentist, devoted solely to the practice of dentistry for children. She maintains a private practice at Kids Dental in Winnipeg, Manitoba. Cohn is an international speaker and author on practical pediatric dentistry for the general practitioner.
 

Support these advertisers included in the May 2017 print edition of Dentaltown magazine.

Click here for an entire list of supporters.

 
Dentaltown Magazine
Sponsors
Townie Perks
Townie® Poll
Do you routinely screen adult patients for sleep-disordered breathing or obstructive sleep apnea?
  
The Dentaltown Team, Farran Media Support
Phone: +1-480-445-9710
Email: support@dentaltown.com
©2026 Dentaltown, a division of Farran Media • All Rights Reserved
9633 S. 48th Street Suite 200 • Phoenix, AZ 85044 • Phone:+1-480-598-0001 • Fax:+1-480-598-3450