Show Your Work: Restoration Hardware by Andrea Joy Smith, DDS, DIAMDI

Dentaltown Magazine
by Andrea Joy Smith, DDS, DIAMDI

A Note From the Editor

Last October we introduced a new department called "Show Your Work" that gives Townies an opportunity to do just that. Here, you'll find straightforward case studies that your fellow dentists take pride in.

Maybe they feel like they've finally mastered a new technique they've been working on. Perhaps they rose to the challenge of a particularly tough patient case. Or it could be that they just want bragging rights for something that, in their eyes, approaches perfection.

If you've got a case you think might be a great fit, shoot me an email: sam@farranmedia.com. Be sure to include a sentence that sums up why this case is so special to you, to help us review and select the best contenders for publication.

One clarification: This opportunity is available to registered Townies only! So be sure to update your member information at dentaltown.com before giving us a shout.

Thank you!

Sam Mittelsteadt

editor, Dentaltown

 

Introduction
After graduating from dental school, I was well-equipped to treat the routine dental needs of my patients—root canals, extractions, fillings, crowns and the like. Twenty-four years later, my practice has evolved to meet the evolving needs of my patient population: Many patients are missing teeth and may not be financially or medically able to undergo the sometimes long and costly process of conventional implants. What happens to patients who suffer from loose dentures or missing teeth and are unable to eat or smile comfortably?

This case study demonstrates how, because of their minimally invasive nature, mini-dental implants can be used for full-mouth reconstruction even on patients who are severely medically compromised.

Medical history and examination
The subject was an invalid 76-year-old who is confined to bed all day, unable to walk because of chronic pain in her legs and joints, and is mobile only when using a wheelchair. The patient wore a cardiac life vest because of a history of cardiac arrest, and has general anxiety and depression as well as dental anxiety. She has some clarity of thought during the day but her dementia worsens at night.

Medications include: Plavix, 75 milligrams once a day; lorazepam, 1mg once a day; oxycodone, 1mg once a day; aspirin, 81mg once a day; hydrocortisone, 10mg twice a day; Zyprexa, 10mg once a day; acetaminophen, 500mg three times a day; Effexor, 75mg four to six times a day; and doxepin, 50mg twice a day.

Dental findings: Poor maxillary dentition, remaining teeth not restorable; full-arch extractions indicated. Resorbed mandible, ill-fitting existing denture.

The patient's husband told me that she no longer wanted to eat solid food because it had become too difficult to eat with a denture that didn't fit and upper teeth that were brittle and painful, so he blended her foods and she basically drank her nutrition.

Her husband also had trouble eating for years before undergoing full-mouth mini-dental implant treatment, and he suggested that his wife could receive the same style of implant treatment. Such treatment had been discussed for a year, but a "cosmetic emergency" occurred when the patient broke a front tooth.

Treatment plan
Because of the patient's health and the effort required for her to come into the office, each visit needed to be very efficient, with as much work completed as possible. This case was completed in four visits; medical clearances from her primary care physician and cardiac specialist were obtained before we began.

Dentaltown Magazine
Figure 1

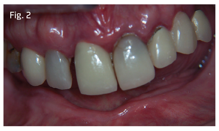
Visit #1: We gathered all diagnostic data—full-mouth radiographs (Fig. 1), preop photos (Fig. 2), CBCT scan (Fig. 3) and study model impressions. The patient was mildly sedated—30 milligrams of hydroxyzine slurry swallowed and 0.125mg triazolam crushed sublingually—and monitored with pulse oximeter throughout the treatment phase of the appointment.

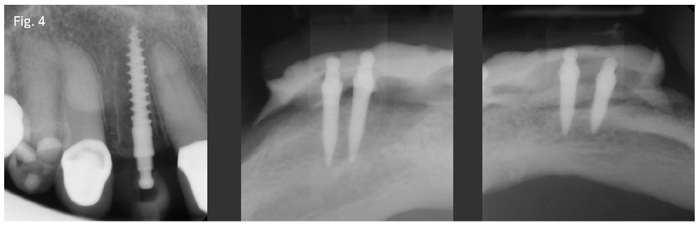
After using Carbocaine 3% non-epinephrine local anesthetic to anesthetize the patient, I performed an atraumatic extraction for tooth #7, placed a 2.5-by-15mm implant (Fig. 4) and fabricated a temporary crown. I then switched my attention to the lower arch.

The patient's mandible was so resorbed that her lower denture did not fit in any usable way. I placed four mini-dental implants (2 by 10mm) with O-ball attachments (Fig. 4). I then cut away the posterior segments of the existing denture, leaving only the anterior six teeth to be used as a temporary, and processed the housings for the four mandibular implants into the anterior segment of the denture, using a self-cured denture base resin.

Dentaltown Magazine
Figure 3 Dentaltown Magazine
Figure 4

The patient left with a removable anterior denture segment. "This is the first time in years I have seen her with lower teeth," her husband said. They were both ecstatic. PVS impressions and bite registration were made to have a full-arch resin roundhouse mandibular appliance made, to be made by the Shatkin First dental lab. I asked the lab to provide room for additional implants that would be placed at the delivery visit (Fig. 5).

During the two weeks or so it took for the lab to fabricate the lower appliance, the patient's husband called to say that the lower temporary appliance had come loose. I visited the patient's home to cement the temporary appliance for stability. The patient reported no other complications or problems.

Visit #2: The patient arrived excited to receive her lower teeth. The temporary appliance offered improved aesthetics, but the patient still was not able to eat as she desired. After anesthetizing and administering sedation medications to her, as described for the first visit, I removed the temporary denture and placed three additional Shatkin First mini-dental implants, 2 by 10mm. This gave the patient a total of seven implants to stabilize the lower appliance. I then cemented the resin roundhouse in place (Fig. 5).

Dentaltown Magazine
Figures 5 and 6

The next step was to take impressions to prepare for the third visit. An upper PVS impression was made for the lab to fabricate an upper resin roundhouse restoration for the maxilla. (I asked the lab to remove the remaining maxillary teeth from the model when fabricating the upper appliance.) The lower opposing impression and bite registration was also taken. The extractions and implant placement would be completed at the third visit.

Visit #3: Before the upper restoration was received back from the lab, another "cosmetic emergency" occurred. The patient fractured tooth #9, and she returned to the office to have it taken care of. I mildly sedated her with 30mg hydroxyzine and 0.125mg triazolam. Using 3% Carbocaine with no epinephrine, I extracted tooth #9, and placed a Shatkin First Intralock implant (2.5 by 13mm). I then took an impression and new bite registration to send to the lab to provide the exact location of the new implant.

Visit #4: The final treatment visit for this patient was for the extraction of remaining maxillary teeth, the immediate placement of implants and to retrofit the upper resin roundhouse appliance that accommodated the immediately placed implants. The procedure was performed under the same sedation protocol followed at previous visits.

After removing the remaining maxillary teeth, six additional 2.5-by-13mm implants were placed to support the full arch restoration (Figs. 6 and 7). Two implants had been placed previously when the patient fractured teeth #7 and 9. The resin appliance was retrofitted and relined with a hard reline denture base. The restoration was cement with a resin cement. The occlusion was checked and adjusted. I dispensed a Water-Pik and an implant tooth brush with circular bristles to facilitate cleaning of the appliance.

The patient left the office with a fully restored dentition—something she was told she could never receive because of her health status and poor bone quantity. She's since been able to reduce the usage of medication for anxiety and depression, and even able to discontinue her use of a cardiac life vest.

Discussion
The ability to eat is something many of us take for granted. Medically compromised patients who have poor dentition often are not able to perform this basic function without extremely modified eating, such as foods that have been pureed or softened by using a blender. This makes for a quality of life that is severely hampered; poor nutrition is something that medically compromised patients can ill afford.

In cases like this one, mini-dental implants can be truly life changing. Teeth that are stable and free of pain make eating more enjoyable—immediately, without the need for major oral surgery. The minimally invasive nature of mini-dental implants means less surgery time, fewer risks of complications during surgery, and less healing and recovery time. Conventional implant oral surgery usually involves multiple surgical visits, extended surgery time and a longer healing period. Also, this patient would have required extensive bone augmentation (see CT scan, Fig. 3, p. 28), and the time from bone grafting and conventional implant placement to fixed restorations could be as long as one year. For a severely medically compromised patient, this was not an option.

Conclusion
Mini-dental implants are a viable option to treat elderly and medically compromised patients who need full-mouth reconstruction but aren't healthy enough to undergo conventional implant treatment.

Dentaltown Magazine
 

References
1. Shatkin, TE, Petrotto, CA, Mini Dental Implants: A retrospective study of 5640 implants placed over a 12-year period. A Supplement to Compendium Continuing Education in Dentistry, Volume 33 Special Issue 3
2. Shatkin First Dental Lab, Resin Roundhouse, Zirconia Roundhouse, Shatkin First Intralock Implants, 2500 Kensington Ave. Amhurst, NY 14226
3. Intra-Lock International, Global Headquarters 6560 West Rogers Circle, Bldg. 24 Boca Raton, Florida 33487 USA
4. Osseon Calcium-Phosphate Beyond Nano Size, Intra-lock International


Author Andrea Joy Smith, DDS, DIAMDI, is in private practice in Sacramento. Smith earned her undergraduate degree in psychology from the University of California Los Angeles and a bachelor's degree in dental science and her DDS from the University of California San Francisco School of Dentistry. A diplomate in the International Academy of Mini Dental Implants, she has placed mini implants for denture stabilization and fixed applications since 2007. Smith is the 2017 recipient of the Lucy Hobbs Project Award for Clinical Expertise, presented by Benco Dental. In 2011, Smith established a not-for-profit organization, The Smile Again Now Foundation, which helps extend access to dental care to members of the Sacramento community in need.
 

Support these advertisers included in the May 2017 print edition of Dentaltown magazine.

Click here for an entire list of supporters.

 
Dentaltown Magazine
 
Dentaltown Magazine
Sponsors
Townie Perks
Townie® Poll
Do you routinely screen adult patients for sleep-disordered breathing or obstructive sleep apnea?
  
The Dentaltown Team, Farran Media Support
Phone: +1-480-445-9710
Email: support@dentaltown.com
©2026 Dentaltown, a division of Farran Media • All Rights Reserved
9633 S. 48th Street Suite 200 • Phoenix, AZ 85044 • Phone:+1-480-598-0001 • Fax:+1-480-598-3450