Building a Mandible by Dr. Fayette C. Williams

Building a Mandible
by Dr. Fayette C. Williams

The management of jaw tumors has evolved to focus on quality of life and functional reconstruction. Modern treatment should ideally include dental reconstruction to maximize function and esthetics. Because tumors within the face strike at a patient’s identity, jaw reconstruction is not considered complete until the dentition and smile are restored.

Traditional treatment involves multiple operations over 12–18 months, including tumor resection, delayed autogenous bone grafting, delayed implant placement, vestibuloplasty and final prosthesis fabrication. This type of bone grafting for large defects has a significant rate of infection and graft loss, sometimes requiring additional grafting.

Surgical options now exist that allow many patients to achieve total reconstruction in a single operation. Patients can now be taken from “tumor to teeth” in one surgery, which includes tumor resection, immediate vascularized bone grafting, immediate dental implants and a fixed provisional dental restoration.

Case study
This patient was a healthy 47-year-old who presented with an expansile mass in the anterior right mandible. Her Panorex showed an irregular multilocular radiolucency extending from premolar to premolar (Fig. 1). Biopsy under local anesthesia revealed an ameloblastoma.

We discussed the traditional surgical option, which initially involves resecting the diseased portion of the mandible and placing a reconstruction plate. After three months of healing, the patient would return to the operating room to undergo a nonvascularized autogenous bone graft from the ilium.

This type of graft requires approximately six months of healing before placing implants. Integration of implants in an iliac crest graft often takes another six months before loading. The patient would not be able to wear a denture for most of this time.

We also discussed a surgical option to reach the same end point in a single operation. This surgery would involve replacing the missing mandible immediately with a vascularized bone graft from the fibula. The graft is harvested along with the blood vessels supplying the bone (peroneal artery and vein), and the vessels are anastomosed to vessels in the neck under a microscope with 9-0 nylon sutures. Because the blood supply is maintained, the bone is able to accommodate immediate dental implants. Preoperative virtual planning then allows for placement of a fixed hybrid prosthesis at the conclusion of the operation.

Presented with the options, this patient chose to have an immediate total jaw reconstruction and said, “I want to wake up with teeth.”

Starting with preop
The preoperative workup consisted of obtaining a CBCT of the head and a CT scan of the patient’s fibula to use in the virtual planning. Implant positioning was included in the virtual plan to establish ideal position and angulation (Fig. 2). The final virtual construct included the fibula, implants, and a milled titanium plate with screw holes placed in customized locations and angulations (Fig. 3).

A cutting guide was generated to make cuts in the mandible at predetermined locations. An additional cutting guide for the fibula served as an implant drill guide, as well as a template to shape the fibula and form the new mandible (Fig. 4). A milled titanium plate was created to allow the bone segments to be affixed to the residual mandible.

The final 3-D construct was printed with planned implant positioning to allow preoperative fabrication of a hybrid dental prosthesis (Fig. 5).

Building a Mandible Figure 1: Preop Panorex shows tumor of the anterior mandible. Figure 2: Virtual plans showing three fibula segments and six implants angled to emerge through the occlusal surface of the preoperative dention. Figure 3: The final virtual construct with fibula, implants, and custom-milled titanium plate. Figure 4: The fibula cutting guide with slots to cut the fibula into three segments. Six guide holes are for implants and an additional six guide holes are for placement of fixation screws. Figure 5: Printed model of neomandible with implants and custom-milled titanium plate. Figure 6: Specimen removed Figure 7: Fibula exposed through a lateral leg incision. Figure 8: Guide attached to fibula to place implants while still perfusing on the leg. Figure 9: Six implants placed into fibula (although only four will be used for the provisional prosthesis).

The surgical process
Surgery began with removing the affected portion of the mandible using the cutting guides to perform osteotomies in predetermined locations. For an ameloblastoma, a minimum of 1 centimeter of bone beyond the radiographic margin is removed to ensure complete tumor eradication.

After tumor removal (Fig. 6), the neck was explored for suitable recipient vessels to anastomose to the fibula vessels. Most commonly, the facial artery is used, along with the external jugular vein or a branch of the internal jugular vein.

Harvesting of the fibula began with an incision on the lateral aspect of the leg between the knee and ankle. The fibula was harvested to include the peroneal vessels and isolated on the vascular pedicle (Fig. 7). Perfusion was maintained on the leg while the drill guide is affixed to the fibula to allow guided implants to be placed (Fig. 8).

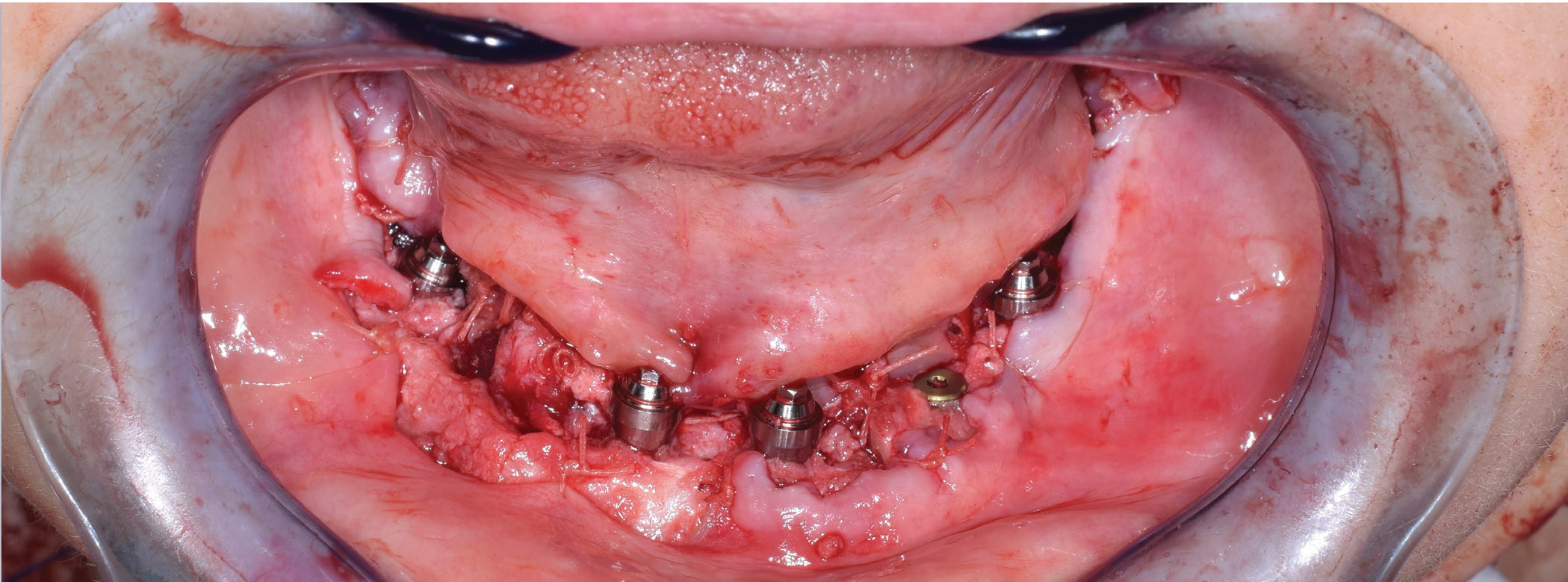
After implants were inserted, multiunit abutments and temporary copings were placed. In this case, six Nobel Biocare NobelActive implants were placed, but only four were used for the provisional prosthesis. The remaining two implants were reserved for the final prosthesis (Fig. 9).

Implants were placed through the inferior border of the fibula for bicortical stabilization. The fibula cutting guide was then used to make closing ostectomies on the fibula to create the curvature of the neomandible (Fig. 10). The three fibula segments were attached to a custom-milled plate while using the hybrid prosthesis as a template to ensure the implants emerged through the planned access opening (Fig. 11).

The fibula vessels were ligated and divided to free the flap from the leg. The fibula was plated to the remaining mandible while verifying that the implant temporary copings still emerged through the occlusal access holes while the teeth were in occlusion. The temporary copings were picked up in the prosthesis by injecting acrylic through the buccal access holes while holding the jaws in proper occlusion (Fig. 12).

The mandibular second molars were preserved up to this point to serve as a vertical stop, although they would be removed later in surgery. The prosthesis was removed and passed off to a back table for the dental lab staff to finalize the hybrid prosthesis (Fig. 13).

Building a Mandible Figure 10: The fibula is cut into three segments and shaped to form the neomandible. The prosthesis is not yet attached to the implants, but is used to verify the positioning of the fibula segments. Figure 11: The fibula segments are attached to the reconstruction plate. Temporary copings will be picked up in the hybrid prosthesis by injecting acylic through buccal access holes. Figure 13: Provisional hybrid

During conversion of the provisional prosthesis, the peroneal artery and vein were anastomosed to the facial artery and external jugular vein under a microscope using 9-0 nylon sutures. Patency of the anastomosis was verified and blood flow to the flap was re-established with ischemia time of approximately 60 minutes.

The neck was closed with 3-0 vicryl at the level of the platysma muscle, and 4-0 Prolene for skin. The oral mucosa was sutured to the fibula, with care to maintain exposure of the abutments (Fig. 14). The final hybrid prosthesis was placed and occlusion verified (Fig. 15). A postoperative CBCT scan showed the accuracy of implant placement, fixation screw placement and bone positioning possible with virtual 3-D planning (Figs. 16 and 17).

Building a MandibleFig. 14: Oral mucosa sutured to fibula with implant abutments exposed.

Building a Mandible Building a Mandible Fig. 17: Postop Panorex showing good AP spread from incisors to first molars.

Conclusion
Success rates for osseointegration range from 83 to 97 percent in fibula grafts. Immediate implants are possible at the time of jaw reconstruction due to the vascularized nature of the bone graft.

While other vascularized bone options exist, the fibula is the workhorse for jaw reconstruction because of the large amount of bone available and low donor-site morbidity. While patients receive physical therapy in the hospital postoperatively, additional physical therapy is rarely needed after discharge.

Advances in virtual technology and surgical techniques allow select patients to undergo tumor removal and complete reconstruction of both their jaw and dentition in a single operation. This immediate reconstruction provides the quickest available return of function and maximizes both quality of life and cosmesis.


Jeremy Behar

Fayette C. Williams, DDS, MD, FACS, is clinical faculty at John Peter Smith Hospital in Fort Worth, Texas, and director of the Division of Maxillofacial Oncology & Reconstructive Surgery. Williams received his DDS from the University of Tennessee College of Dentistry in 2002 and obtained his MD at the University of Texas Southwestern Medical Center in 2005. He completed his residency in 2008 at UTSW/Parkland Memorial Hospital in Dallas. In 2010, he served as the fellow in maxillofacial oncology and reconstructive surgery at the University of Michigan in Ann Arbor.

Williams is the program director of the only maxillofacial oncology and reconstructive surgery fellowship in Texas and is one of only a few dozen oral and maxillofacial surgeons in the country fellowship trained in microvascular reconstruction. He has lectured on an international level and has authored multiple textbook chapters on oral cancer and reconstructive surgery. Williams maintains both an academic and private practice and is actively involved in training surgical residents from the UTSW/Parkland Memorial Hospital in Dallas. His passion lies in the treatment of oral cancer and its related defects.

Sponsors
Townie Perks
Townie® Poll
Do you routinely screen adult patients for sleep-disordered breathing or obstructive sleep apnea?


  
The Dentaltown Team, Farran Media Support
Phone: +1-480-445-9710
Email: support@dentaltown.com
©2026 Dentaltown, a division of Farran Media • All Rights Reserved
9633 S. 48th Street Suite 200 • Phoenix, AZ 85044 • Phone:+1-480-598-0001 • Fax:+1-480-598-3450