Making an Impression
The Caulk division of Dentsply International, located in
Milford, Delaware, has a rich heritage of supplying quality products
to the dental profession. The company was started by Dr.
Levin D. Caulk, a Delaware dentist who began making his own
dental materials in a humble shed behind his home. His products
gained regional popularity and in 1877 he founded the L.D.
Caulk Company, dedicating himself to full-time manufacturing
of dental materials. His products were transported via horse and
buggy to dental product retail stores in the mid-Atlantic area,
and as transportation methods improved, L. D. Caulk products
were shipped across the country, and eventually
across the world. Dr. Caulk passed away in 1895,
and the business was purchased by the Grier family
which was continuously involved in the business
until the mid-1990s.
Above photo (from left) Dr. Bern Koltisko, director of research &
development; Nils Classen, director of marketing and
Gene Dorff, vice president & general manager
L. D. Caulk became a division of Dentsply
International in 1963, which provided the
opportunity to expand the global reach of the
materials made at the facility in Milford. Today,
the Caulk division continues to be a leader in
the development and manufacturing of dental
materials, and serves as a manufacturing center
for many other Dentsply divisions. The
product line focus is on restorative dentistry
with leading brands in the composite,
impression material, adhesive and temporary
material categories. Dentaltown Magazine recently spoke with Gene Dorff, VP and
General Manager, to learn more about the
company and where it's headed.

Above photo: 1: Built in 1912, the L. D. Caulk manufacturing facility is still used today. The
campus has expanded to include additional administration, R&D and manufacturing
facilities on the same site. 2: Current Dentsply Caulk Administration building. 3: A shipment of alloy filling materials leaving the L. D. Caulk facility for the U.S.
military in 1918. L. D. Caulk product supply to the military was a closely guarded
secret to avoid giving away any information regarding U.S. military troop strength. 4: A selection of the early dental materials manufactured by Dr. L. D. Caulk as well
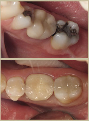
as the sign that hung outside of his office in Camden, Delaware. 5: Aquasil Ultra single unit impression from Dr. Alan Boghosian.
What is your current business philosophy?
Dorff: Dentsply Caulk is dedicated to understanding the needs of the dental community
and developing solutions to provide better outcomes to dentists and their
patients. We continue to develop our core competencies, developing and manufacturing
award winning composites, impression materials, adhesives and temporary materials, as
well as many others.
What sets Caulk apart from the competition?
Dorff: Our rich history in dental product development and manufacturing provides
our customers the confidence that the materials they use from Caulk will provide
excellent outcomes for their patients. Innovative new products that are focused on providing
clinical solutions are a primary focus of the Caulk division. Our new product
development process is very rigorous, and ensures that the products we bring to market
are ready.
In addition to the team at the Caulk headquarters there is a dedicated group
of product specialists across the country that provides education and product
support for Caulk products in the dental office. These product specialists
undergo one of the most comprehensive training regimens in the industry,
from dental anatomy and terminology, to clinical and technical product
attributes. They are an excellent resource for the dental office in providing
clinical solutions. Along with the field product specialists, we also have a
professional services team based at our Milford headquarters that provides
product support over the phone. If a dentist has a Caulk product question – this team is there to provide answers!

Above photo from left: Prime & Bond NT
Nano – Technology Dental
Adhesive System refill, Integrity
Temporary Crown & Bridge
Material, SureFil SDR flow
Posterior Bulk Fill Flowable Base
refill, ChemFil Rock Advanced
Glass Ionomer Restorative capsules,
Aquasil Ultra Smart
Wetting Impression Material
Single Unit Procedure Kit and,
in front, TPH3 Micro Matrix
Restorative syringe.
What can you guarantee dentists who purchase
your products?
Dorff: We guarantee the highest quality premium products on
the market to allow clinicians to provide the best clinical care to
their patients.
How do you gather feedback from your customers and
what do you do with that information?
Dorff: Dentsply Caulk continuously gathers feedback from customers in
order to drive product development and refinement. We use many methods to
attain the "voice of the customer," including surveys, focus groups, one-on-one
interviews, clinical observations and several others. In addition, an observation team of professionally trained observers was recently created and
tasked with visiting dental offices to identify unmet needs. This
feedback from our customers is extremely important in order for
us to identify the needs that the dentists have for providing
exceptional treatment to their patients. The information that we
gather is provided to many different functions here at Caulk: to
the research and development team to begin building specifications
for new products, to the continuous improvement team to
understand how we can make improvements to our existing
products, and to the field sales team, so that they are better able
to understand the needs of our customers, and how our products
can support them in their practice.
From imagination to developed product, what
are the steps Dentsply Caulk takes in R&D?
Dorff: The Dentsply Caulk product development process
is very rigorous and detailed. Every product that is developed
and launched by Caulk follows a strict development procedure
to ensure the product meets the demands of our customers in
terms of performance and ease of use. The early stages start
with gathering customer feedback to understand what the
desired features are for the product, and what benefits it
provides to the dentist and the patient. Our research and development
team takes these design objectives, and begins formulating
products to meet the desired objectives. It's interesting to
note that in the course of new product development, there
might be hundreds of different formulas developed before a
final formula is decided upon that meets the goals and objectives
of the project. Once a formula is decided upon, the product
enters an extremely thorough physical property testing
regimen that ensures the material will withstand all the oral
forces it will be subjected to in clinical use. The final stage of
the product launch process is the clinical validation. All Caulk-formulated
products are entered into clinical trials, to understand
the performance of the product in actual clinical use. We
work very closely with a wide variety of clinical research partners
from many different universities across the world in order
to provide final validation of the products' performance from
both the dentist and patient perspective. Along with university
clinical trials, new products are provided to practicing dentists
around the world for their evaluation in private practice, to
understand if the material delivers on the original goals and
objectives. Along with the meticulous internal Caulk process,
we also strictly adhere to the FDA medical device product
launch process, providing all the information necessary to validate
the performance of the product and receive FDA
approval for launch.
In many cases, product development can take years of investigation
and customer research. Our dentist customers can be
confident that the Caulk products they use in their offices today
have been thoroughly researched and tested to ensure they meet
the high quality standards they have come to expect from Caulk.
The Caulk R&D facility contains a variety of high-tech testing
equipment, and the Caulk labs serve as a testing site for many
Dentsply divisions.
Where is Dentsply Caulk investing most of its
time and money right now?
Dorff: The Dentsply Caulk team invests heavily in continued
product development and innovation. With a staff of 450
employees in the Milford facility, everyone stands behind our
mission, "To produce and offer innovative dental solutions
that add exceptional value to dentists and their customers." We
also focus on finding new and better ways to manufacture
products that provide performance or ease-of-use benefits to
our dentist customers.
To what do you attribute Dentsply Caulk's success
and achievements?
Dorff: Dentsply Caulk has a long heritage of being the first
in dentistry to launch many successful innovative products. We
research, develop and manufacture almost all of our own products.
From the research and development labs to the manufacturing
floor, Dentsply Caulk employees take pride in providing
best-in-class products to the industry. Innovative products like:
Aquasil Ultra Smart Wetting Impression Material, TPH3 Micro Matrix Restorative, Prime & Bond NT Nano-Technology
Dental Adhesive System and SureFil SDR Flow Posterior Bulk
Fill Flowable Base provide clinical solutions to dentists around
the globe. Dentsply Caulk continues to be a key contributor to
Dentsply's strong performance in the current market conditions.
The combination of employee talent, dedication and passion
drives this success.
What can we expect to see from Dentsply Caulk
in the near future?
Dorff: At Caulk, we are committed to developing innovative
new technologies that will provide unique solutions to dentists
and their patients. Recent developments in low-stress
resins, such as the SDR resin developed by Caulk and found in
SureFil SDR flow provides unique handling and bulk-fill capability
for easier placement. The proprietary zinc-modified glass
formula used in ChemFil Rock Advanced Glass Ionomer
Restorative has set new standards for strength and handling of
glass ionomer restorative materials. We will continue to build
on these platform technologies to provide further advancements
in these categories. In the near future you will see a variety of
products launched from Caulk that will continue to provide the
strength and quality that dentists have come to expect from
Caulk, as well as unique ease of use features. 2011 will bring an
exciting new product launch in the matrix system category – providing dentists easier ways to manage posterior interproximal
contact creation. We will also launch a new technology in
the temporary crown and bridge category – providing unique
new chemistry that offers excellent performance and ease of use.
As we move into 2012 and beyond, the Caulk development
pipeline is full of exciting new materials that will provide solutions
to the dental industry.
For more information, please call 800-532-2855
or visit www.caulk.com. |