The Puck Stopped Here by Dr. Joseph J. Pelerin

Case Profile: The Puck Stopped Here


by Dr. Joseph J. Pelerin


It was a Sunday afternoon in late January 2025 when my son called from Grosse Pointe, Michigan. His 8-year-old son had taken a direct puck to the mouth during a pond hockey game—no helmet, no mouthguard. Both maxillary central incisors were fractured, with an estimated one-third to one-half of the incisal structure lost.

“There’s a dentist nearby,” my son said.

I replied, “There are 6,000 dentists in Michigan, but he’s coming to see me!”


Initial assessment
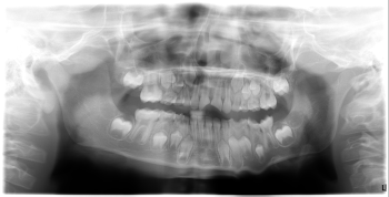
The following Monday, my grandson was in my Auburn Hills office. His X-rays showed incompletely formed roots—a critical factor in planning treatment. Intraoral evaluation revealed that the pulp chambers were open, exposing vital tissue and vessels, but with no bleeding (Figs. 1–3).

At this stage, many clinicians might consider endodontic therapy. However, performing endo on an immature tooth can disrupt normal root development. My goal was to protect the pulp and preserve vitality long enough for continued root formation.
The Puck Stopped Here
Fig. 1
The Puck Stopped Here
Fig. 2
The Puck Stopped Here
Fig. 3


Clinical approach
The plan was to disinfect, cap the pulp chambers and restore both teeth with direct composite buildups. As I often tell colleagues, this approach may sound ambitious, but it is rooted in sound biological principles.

Years earlier, I described a similar concept in another dental publication—what I referred to as “window exposure” management for deep caries—where pulp preservation takes precedence over removal.


Anesthesia and preparation
Despite being a tough kid, my grandson is still 8 years old. To ensure a positive experience, I used warmed anesthetic, applied liberal topical, stretched the vestibule tightly and injected slowly with minimal penetration. There was no flinch and no tears—a small victory that made the rest of the procedure possible.

Under magnification, the pulp exposures were clearly visible, along with black debris transferred from the puck. Using a fine diamond bur, I tapered the enamel slightly below the fracture line on both the buccal and lingual surfaces. This minimal preparation allowed the composite to feather seamlessly to the gingival margin.


Disinfection and bonding
After gently removing foreign material, I air-abraded the surfaces and etched with 40% phosphoric acid (Ultradent). These teeth had been exposed to the oral environment for nearly 48 hours, so thorough disinfection was essential.

To disinfect and seal the pulp without irritation, I used Hemaseal & Cide, a glutaraldehyde-free desensitizer containing 4% chlorhexidine (Fig. 4). It delivers enhanced antimicrobial efficacy compared with traditional glutaraldehyde-based desensitizers, while remaining safe for exposed pulpal tissue. I carefully applied it over the pulp, lightly air-dried the excess, and followed with PQ1 (Ultradent), a single-bottle primer/adhesive. After air thinning and curing, I added a thin layer of flowable composite (Tokuyama), air thinned and cured again.
The Puck Stopped Here
Fig. 4

Restorative build-up
With the pulp chambers recapped and sealed, I proceeded with freehand composite buildup, layering and sculpting incrementally. For shaping, I alternated between fine instruments and what I call “digital technology”—my index finger.

Each layer was cured before contouring with a long diamond to refine form and finish. Pediatric dentistry demands efficiency, and after about 45 minutes my grandson had reached his limit. Still, the restorations were sound and aesthetically pleasing. The immediate postoperative result looked remarkably natural—to everyone’s relief (Fig. 5).
The Puck Stopped Here
Fig. 5

Follow-up and outcome
That evening, my son reported no postoperative sensitivity. Two months later, the restorations remained intact and asymptomatic, even after I learned my grandson is an avid nail biter. That discovery made me sweat bullets, but the restorations held without fracture.

He is now back on the ice—this time in full gear, including a helmet and mouthguard. I may be biased, but he looks pretty good out there.


Reflection
At the time, I had no intention of documenting this case. My focus was simply doing right by my grandson—preserving vitality and function. Later, while reviewing the X-rays and photos, I realized the case illustrated an essential lesson: Sometimes the best treatment is not the most invasive, but the most biologically respectful.

By using conservative disinfection and pulp-capping techniques, supported by modern materials such as Hemaseal & Cide, clinicians can preserve vitality and allow natural development—even after trauma severe enough to stop a puck.

This content is sponsored by Advantage Dental Products.
For more information, visit advantagedentalinc.com.


Author Bio
Dr. Joseph J. Pelerin Joseph J. Pelerin, DDS, has been in private practice for more than 40 years. He is a member of various national, state, and county dental associations. He has created and patented several successful dental products and has formed two separate companies, Advantage Dental Products and Grind Guard Technologies.




Sponsors
Townie Perks
Townie® Poll
Do you routinely screen adult patients for sleep-disordered breathing or obstructive sleep apnea?
  
The Dentaltown Team, Farran Media Support
Phone: +1-480-445-9710
Email: support@dentaltown.com
©2026 Dentaltown, a division of Farran Media • All Rights Reserved
9633 S. 48th Street Suite 200 • Phoenix, AZ 85044 • Phone:+1-480-598-0001 • Fax:+1-480-598-3450