Second Opinion: The Tooth the Dentist Rejected by Dr. Jarod Johnson

Categories: Pediatric;
Second Opinion: The Tooth the Dentist Rejected 

Early extraction of a permanent first molar can sometimes be the best plan


by Dr. Jarod Johnson


“The stone the builders rejected has become the cornerstone; the Lord has done this, and it is marvelous in our eyes.” — Psalms 22:23

A note from the author
I get it: A Bible verse isn’t the first thing many would expect to read at the beginning of a dental article. I hope it didn’t turn you off, because I meant to inspire you to invest in your own spirituality, regardless of belief system. Personally, the COVID-19 pandemic has taken a toll on my mental health, but through medication and therapy I have regained my drive for life. I have discovered many things about myself through my therapist, and one that has really helped me is finding my spirit. I hope you can find yours.
— Dr. Jarod Johnson


The Oxford English Dictionary defines a cornerstone as “an important quality or feature which a particular thing depends on or is based.” In my dental training, it was made apparent that the permanent first molars and the permanent canines formed the cornerstones of the mouth: the opposing arches in a frontal plane, the same arches in horizontal plane, and the right and left side in the sagittal plane.

This begs the question: How can a pediatric dentist—or any dentist—reject the permanent first molar and allow a different tooth to become a cornerstone? I’ve had calls from oral surgeons asking why I wanted them to extract a carious, hypoplastic permanent molar in a child who’d had general anesthesia a year before for full-mouth rehabilitation. The tooth was restorable, but that was not in the best interest of the child given the caries risk and expected growth and development.

I want to dive into the early extraction of the permanent first molar and demonstrate that the tooth we reject—the permanent first molar—can allow the second permanent molar to become the cornerstone and, in some cases, avoid extraction of the third molar.


Case
An 11-year-old patient presented with the chief complaint of “cavities on baby teeth.” Upon examination, decay was noted on Teeth #3, 14 and 30 (Figs. 1–8). All teeth responded positively to vitality testing. Because of inadequate remaining dentin thickness, #3 and 14 would require more treatment than a simple restoration.
FIGS. 1 AND 2: Initial intraoral photos of #3 and #14, which had extensive tooth structure loss from decay.
permanent first molar extraction

permanent first molar extraction
FIG. 3: Initial intraoral photo of #30, with moderate occlusal decay. permanent first molar extraction
FIG. 4: Initial panoramic image. Note the presence of third molars. permanent first molar extraction
FIGS. 5 AND 6: Initial periapical imaging of #3 and #14.
permanent first molar extraction
permanent first molar extraction
FIGS. 7 AND 8: Initial bitewings.
permanent first molar extraction
permanent first molar extraction


Treatment plan
In cases where children have growth potential with eruption of second and third molars, it is sometimes more favorable to extract permanent first molars than to undergo extensive and expensive endodontic therapy, which generally is followed by a full-coverage restoration.

In this case, the second molars still had eruption potential; if they had been in occlusion, it may have been more favorable to pursue pulp therapy and restoration of the first permanent molars. Because of the extent of decay, the unfavorable long-term prognosis of #3 and 14, and the eruption potential of the second permanent molars, extraction was recommended instead of root canal or vital pulp therapy.

The parents consented to extraction; Teeth #3 and 14 were extracted and #30 was restored with a resin composite.

FIGS. 9-11: Panoramic and bitewing images taken at four-year recall appointment. Note the mesial migration of the permanent first molar and the distal drift of premolars.
permanent first molar extraction
permanent first molar extraction
permanent first molar extraction
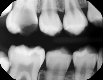
FIGS. 12 AND 13: Bitewings taken at seven-year recall appointment. Note the complete interproximal space closure.
permanent first molar extraction
permanent first molar extraction

Treatment outcome
A four-year recall evaluation (Figs. 9–11) showed progression of the eruption of the second permanent molars into the place of the first permanent molars. At a seven-year recall, bitewing radiographs (Figs. 12 and 13) showed the third molars had also become apparent and moved into the place of the second permanent molars.

While extraction of the maxillary molars before eruption of the second molar tends to be more favorable, mandibular molars can be extracted as well and allow for molar substitution.

This method of managing the grossly carious permanent first molars has a distinct advantage. It is more cost-effective than endodontic and restorative therapy; it can alleviate crowding in the region of the premolars; and it reduces the future risk of impaction of the permanent third molars, saving a child from extensive surgery.

When considering extraction of the first permanent molars, it is paramount that the clinician has a great understanding of the stage of growth and development of a child. I have found that it’s easy to obtain predictable results of second- and third-molar substitution if the timing of the extraction is at the right stage of growth and development of the child. It is thought that the best age is between 8 and 10 years, with radiographic evidence of development of the furcation present in the mandible for optimal results.

The Royal College of Surgeons has developed guidelines for extracting permanent first molars that can be useful to provide clinicians with guidance on the timing of extraction categorized by the patient’s class of occlusion.


Author Bio
Dr. Jarod Johnson Dr. Jarod Johnson earned a bachelor’s degree in biomedical engineering from the University of Iowa in 2009 and his DDS from the same school in 2013. He earned a certificate in pediatric dentistry from the University of Nevada, Las Vegas School of Dental Medicine. Johnson, a fellow of the American Board of Pediatric Dentistry, is in private practice in Muscatine, Iowa, and provides pediatric dental education monthly through Pediatric Dental Seminars.
Sponsors
Townie Perks
Townie® Poll
Do you routinely screen adult patients for sleep-disordered breathing or obstructive sleep apnea?
  
The Dentaltown Team, Farran Media Support
Phone: +1-480-445-9710
Email: support@dentaltown.com
©2026 Dentaltown, a division of Farran Media • All Rights Reserved
9633 S. 48th Street Suite 200 • Phoenix, AZ 85044 • Phone:+1-480-598-0001 • Fax:+1-480-598-3450