Zirconia Abutment

Revolutionary Product: The Atlantis Abutment in Zirconia for Internal Connection Implants
Posted: March 21, 2006

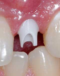
Atlantis Components, Inc.,innovator in the dental implant market, announces the launch of the Atlantis Abutment in Zirconia™ for internal connection implants. The introduction of this all-zirconia internal connection abutment raises the standards for ceramic technology. The Atlantis Abutment in Zirconia provides exceptional esthetic results with the utmost simplicity and assures clinicians of unmatched strength, reliability, and precision for even the most demanding cases.

The internal connection design of the Atlantis Abutment in Zirconia is compatible with Zimmer Dental Tapered Screw Vent implants. This expert-engineered abutment is the first all-zirconia, patient-specific, internal connection abutment available to clinicians in the United States.

The strength and reliability of the all-zirconia abutment is assured through the Atlantis’ Virtual Abutment Design (VAD) system, extensive testing and a state-of- the-art manufacturing process. Independent testing confirms this abutment, manufactured from yttria-stabilized tetragonal zirconia polycrystals (Y-TZP), is the strongest and most reliable patient-specific ceramic abutment currently available.

The Atlantis Abutment in Zirconia is also available for standard diameter external hex implants. As with every Atlantis Abutment, an abutment screw specifically designed for the abutment and the implant to which it will be connected is included.

The Atlantis Abutment in Zirconia is designed and fabricated using the same patented, proprietary process combining state-of-the-art 3D optical scanning, advanced software-based expert design system, and sophisticated manufacturing methods as the Atlantis Titanium Abutment. The revolutionary product that results from this technology requires no hand-modification, yet combines in a single product excellent esthetic outcomes, ease of use and higher profitability than is possible using traditional protocols and products. Dental practitioners involved in all phases of the implant process can realize a significant reduction in chair time and patient visits with the use of this newest addition to the Atlantis Abutment product line.PR

Views: 39
Sponsors
Townie Perks
Townie® Poll
Do you routinely screen adult patients for sleep-disordered breathing or obstructive sleep apnea?
  
The Dentaltown Team, Farran Media Support
Phone: +1-480-445-9710
Email: support@dentaltown.com
©2026 Dentaltown, a division of Farran Media • All Rights Reserved
9633 S. 48th Street Suite 200 • Phoenix, AZ 85044 • Phone:+1-480-598-0001 • Fax:+1-480-598-3450