Prosthodontic Solutions Using the Telescope Technique by Uwe Mohr

Categories: Prosthodontics;
Prosthodontic Solutions Using the Telescope Technique 

by Uwe Mohr


Disclaimer: For the purposes of this article, I will discuss only the telescope technique and show the lab work to introduce the different solutions. Conus systems like the Atlantis Conus are not telescopes, do not duplicate the telescope function and are an entirely different category. Cases shown were all made by me, from 2001 to the present. All CAD/CAM cases are milled by Michael Anger, MDT, Germany.

History

The double-crown technique is considered to be the “king’s class” of dental restorations in Germany. I was fortunate to learn the technique from two of its inventors in 1980. In essence, the double-crown technique describes two different systems of a crown or superstructure sitting atop a primary coping or abutment—telescope crowns and conus crowns. The fundamental difference: Telescopes glide easily on top of each other while maintaining friction fit and are easily removed by the patient. Conus crowns do not glide; they lock in a final, definite position and require substantial force of removal, which gets greater the longer the patient wears it. Implants and milled bars can also fall into these classifications.

The primary telescope is precision-milled using specialized burs, then the external surface is highly polished. In the traditional analog method we would then make a coping of pattern resin and cast this or, more recently, use the Galvano method to fabricate the coping. My current method is fabricating the secondary telescope in PEEK.

The key step in all these procedures is fitting the secondary coping with friction fit. This involves painstakingly dialing in and polishing the intaglio of the secondary telescope until the desired level of friction fit is achieved. In a nutshell, for single telescopes one would select a higher level of friction fit than, say, for six telescopes. The friction fit is additive, so too much friction fit will make the telescope jam and prevent the smooth gliding action that makes it a telescope. By comparison, the conus system does not have this function; it just locks in the end position.

The method is pretty much the same regardless of which material or system is utilized. This turns the telescope into a 360-degree attachment, providing a very stable base for any framework or superstructure. They do not have the snap-in of, say, locators and therefore do not require a great removal force, but glide easily.

We all know the principle of two slabs of glass gliding on top of each other—or, more practically, think of the function of your car’s shock absorbers. The two tubes glide frictionless on top of each other. The conus crown, by comparison, would be your wheel mount, securely locked in place and definitely not moving.

Fig. 1 illustrates a visual aid I published many years ago on Dentaltown.


Dental Telescopes_Uwe-Mohr
Fig. 1


When telescopes first were created, it was a fully analog procedure, using cast gold primary copings that had been milled parallel in wax, cast, remilled after try-in and pickup, then highly polished. Only then was the secondary crown/coping waxed and cast.

The actual process of dialing in the level of friction fit required superior skill and lots of patience, bearing in mind that this was cast coping on cast coping, and back then dental investments left a lot to be desired. There were several generational changes in materials, each of which changed the process substantially:

  • First came the invention of high-precision phosphate-based investments, which created a far finer grain structure and allowed for smoother fit.
  • The next leap was the invention and adaptation of Galvano processes to generate the secondary coping.
  • This in turn created the necessity of bonding these copings into ever-more complex superstructures, but also turned out to be the ideal combination to treat implant cases with telescopes.
  • Now we are in the digital age, and both primary and secondary structures can be CAD/CAM-milled.
I believe the best combination for longevity in the friction fit is the fabrication of the primary copings in CAD/CAM-milled medical-grade nonprecious and the secondary in PEEK. However, the traditional analog cast and coping technique (Figs. 2–4) still comes in very handy on many occasions.

Dental Telescopes Uwe Mohr
Fig. 2
Dental Telescopes Uwe Mohr
Fig. 3
Dental Telescopes Uwe Mohr
Fig. 4


Planning and preparation

Any complex restoration requires planning and communication. This usually starts with the dentist sending in pictures of mounted models and a brief discussion on possible solutions. I approach all my lab work with the consideration of the final outcome in mind, regardless of methods and materials.

One criteria to bear in mind is that unless it is single telescopes in addition to other retentive elements, in essence a telescope case is a denture in function—it is removable, even though the primary copings are fixed restorations or screw-retained implant abutments. Standard procedure for any of these is a diagnostic wax-up and/or denture setup. We need to determine incisal edge positions, contours and occlusion.

I prefer to work in established parameters— meaning aesthetic A and B points, incisal edge positions—and generate the primary telescopes only once I have a diagnostic wax-up or denture teeth setup tried in and verified.

My preferred starting point for this is a facebow or Kois Analyzer registration and bite blocks or CR bite (Figs. 5–7). With implant cases, a verification jig is a must (Figs. 8 and 9).

Dental Telescopes Uwe Mohr
Fig. 5
Dental Telescopes Uwe Mohr
Fig. 6
Dental Telescopes Uwe Mohr
Fig. 7
Dental Telescopes Uwe Mohr
Fig. 8
Dental Telescopes Uwe Mohr
Fig. 9


Fabrication steps for a telescopic bridge in PEEK

For this case, we require a combination of wax-up and setup for try-in. Patient records (Fig. 10) are the starting point; Figs. 11–13 show mounting of models using the Kois Transfer Table.



Dental Telescopes Uwe Mohr
Fig. 10 - Courtesy of Dr. C. Geras
Dental Telescopes Uwe Mohr
Fig. 11
Dental Telescopes Uwe Mohr
Fig. 12

Dental Telescopes Uwe Mohr
Fig. 13


Denture tooth setup and diagnostic wax-up are done simultaneously to work out dimensions and positions and incorporate the incisal A&B point generated by the Kois Analyzer (Figs. 14 and 15). From this, we generate temporary matrices (Figs. 16 and 17) for the dentist to temporize the patient in the established CR and with function and aesthetics as close as possible to the desired final outcome. We can also turn the setup into a temporary denture to go with this.

After try-in, the setup is remounted with the confirmed bite and is transferred for the design of the primary copings (Figs. 18–21). We need the dimensions and positions to match into the design.


Dental Telescopes Uwe Mohr
Fig. 14
Dental Telescopes Uwe Mohr
Fig. 15
Dental Telescopes Uwe Mohr
Fig. 16
Dental Telescopes Uwe Mohr
Fig. 17
Dental Telescopes Uwe Mohr
Fig. 18
Dental Telescopes Uwe Mohr
Fig. 19
Dental Telescopes Uwe Mohr
Fig. 20
Dental Telescopes Uwe Mohr
Fig. 21

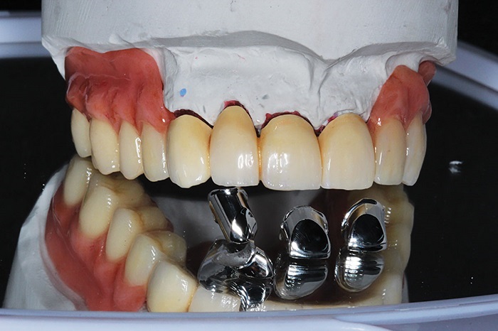
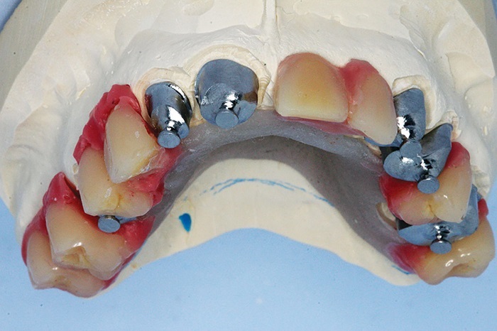
With these steps we can accurately design position and dimension of the primary telescope or abutment. The telescopes show studs for extra retention in the pickup impression.

The procedure for analog manufacturing is similar. The wax-up is milled, cast and sent for a pickup impression, so a new master model can be generated (Figs. 22 and 23).

For the pickup impression, it is recommended to use seating jigs to confirm the right position and rotation of the abutments (Figs. 24–27). They will later be used again for the final insertion. Fig. 28 shows a digitally printed custom tray for pickup impression.
Dental Telescopes Uwe Mohr
Fig. 22
Dental Telescopes Uwe Mohr
Fig. 23
Dental Telescopes Uwe Mohr
Fig. 24
Dental Telescopes Uwe Mohr
Fig. 25
Dental Telescopes Uwe Mohr
Fig. 26
Dental Telescopes Uwe Mohr
Fig. 27

Dental Telescopes Uwe Mohr
Fig. 28

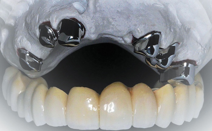
Final milling and secondary superstructure

Regardless if we work analog or digital, the primary telescope/abutment has to be milled and polished before proceeding to the construction of the superstructure. High-shine polish is essential because this transfers into the secondary coping, and could cause undercuts or rough surfaces with poor friction fit (Figs. 29–32).

Dental Telescopes Uwe Mohr
Fig. 29
Dental Telescopes Uwe Mohr
Fig. 30
Dental Telescopes Uwe Mohr
Fig. 31
Dental Telescopes Uwe Mohr
Fig. 32

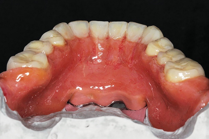
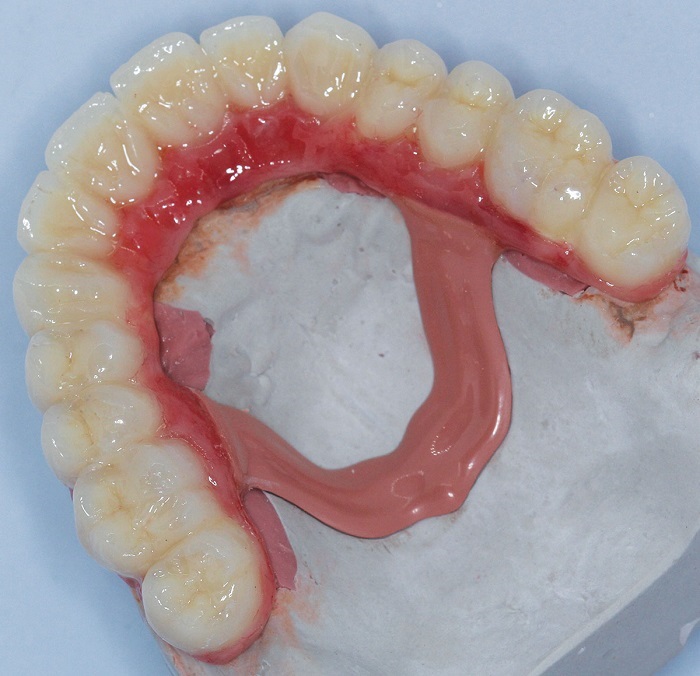
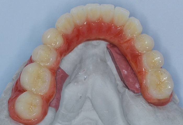
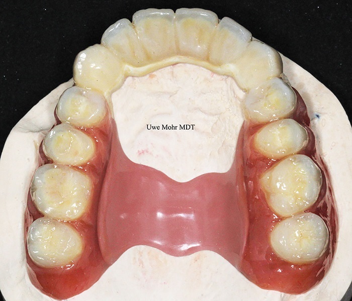
The bridge frame is CAD/CAM-milled in PEEK; friction fit is dialed in, ready for veneering in GC Gradia Plus (Figs. 33–35). There is no concern for the distal extensions, because this completed bridge is removable and tissue-supported (Figs. 36 and 37).
Dental Telescopes Uwe Mohr
Fig. 33
Dental Telescopes Uwe Mohr
Fig. 34
Dental Telescopes Uwe Mohr
Fig. 35
Dental Telescopes Uwe Mohr
Fig. 36
Dental Telescopes Uwe Mohr
Fig. 37


Traditional analog method assembly of the secondary frame and superstructure

In this example using traditional Galvano copings, the copings are generated, friction fit is dialed in and the coping is positioned on the model for duplicating (cast partial) or waxing (cast metal)—see Figs. 38a, 38b and 39. After the Galvano copings have been friction fitted to the primary telescopes, the secondary frame is constructed (Fig. 40). This can be a bridge, cast partial, etc.—there are many possible constructions.

Dental Telescopes Uwe Mohr
Fig. 38a
Dental Telescopes Uwe Mohr
Fig. 38b
Dental Telescopes Uwe Mohr
Fig. 39
Dental Telescopes Uwe Mohr
Fig. 40


After the secondary frame is fitted, the Galvano copings get conditioned for bonding into the frame. A special attachment bonder is used for this process for bonding metal to metal (Figs. 41–46).

Fig. 47 shows the completed case from Fig. 22.

Dental Telescopes Uwe Mohr
Fig. 41
Dental Telescopes Uwe Mohr
Fig. 42
Dental Telescopes Uwe Mohr
Fig. 43
Dental Telescopes Uwe Mohr
Fig. 44
Dental Telescopes Uwe Mohr
Fig. 45
Dental Telescopes Uwe Mohr
Fig. 46

Dental Telescopes Uwe Mohr
Fig. 47


Another material for secondary telescope copings is USIG PEEK, a vacuum-formed material that is drawn over the primary telescope directly. They are then placed on the model and duplicated for the secondary frame creation (Figs. 48–50).

Dental Telescopes Uwe Mohr
Fig. 48
Dental Telescopes Uwe Mohr
Fig. 49
Dental Telescopes Uwe Mohr
Fig. 50


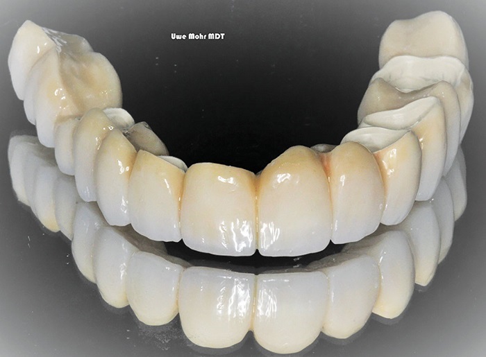
The possible combinations of superstructures in PEEK are limitless, including solid white, pink or any combination (Figs. 51–57).

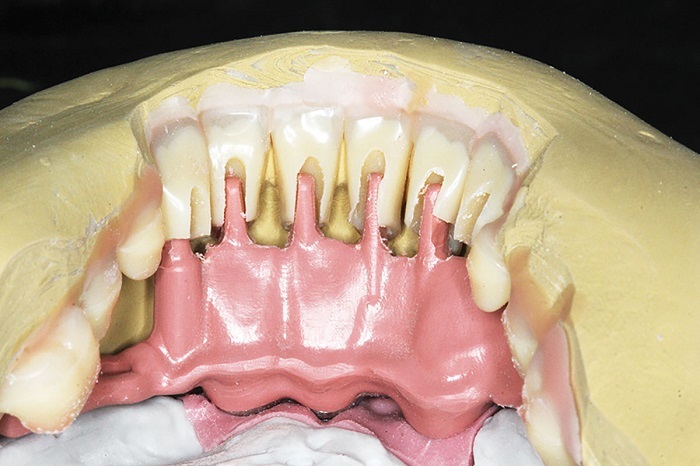
The most common failure complaint for traditional hybrid prostheses is the debonding or breaking off of denture teeth. This is due to lack of mechanical retention and poor processing protocols. To prevent this, we generate individual retentions whenever anterior teeth are involved, supporting each tooth (Figs. 58 and 59).

The denture teeth get bonded onto the retentions using GC Gradia Plus composite before the rest of the superstructure is finished (Figs. 60 and 61).
Dental Telescopes Uwe Mohr
Fig. 51
Dental Telescopes Uwe Mohr
Fig. 52
Dental Telescopes Uwe Mohr
Fig. 53
Dental Telescopes Uwe Mohr
Fig. 54
Dental Telescopes Uwe Mohr
Fig. 55
Dental Telescopes Uwe Mohr
Fig. 56

Dental Telescopes Uwe Mohr
Fig. 57
Dental Telescopes Uwe Mohr
Fig. 58
Dental Telescopes Uwe Mohr
Fig. 59
Dental Telescopes Uwe Mohr
Fig. 60
Dental Telescopes Uwe Mohr
Fig. 61


Design variations

There are endless variations that can combine denture style, bridge style, natural teeth and implants. I’ve included some possible combinations.

Denture style: My preferred technique incorporates Tribos 501 denture teeth, GC Gradia Plus and Gradia Gum, Shofu Lite Art, Kulzer Pala Cre-Active Stains and GC Optiglaze and hand-polishing (Figs. 62–67).

Combination style: My preferred technique again uses Tribos 501 denture teeth, GC Gradia Plus and Gradia Gum, Shofu Lite Art and Kulzer Pala Cre-Active Stains and GC Optiglaze, with hand-polishing (Figs. 68–73).

Bridge style: See Figs. 74–77.
Dental Telescopes Uwe Mohr
Fig. 62
Dental Telescopes Uwe Mohr
Fig. 63
Dental Telescopes Uwe Mohr
Fig. 64
Dental Telescopes Uwe Mohr
Fig. 65
Dental Telescopes Uwe Mohr
Fig. 66
Dental Telescopes Uwe Mohr
Fig. 67
Dental Telescopes Uwe Mohr
Fig. 68
Dental Telescopes Uwe Mohr
Fig. 69
Dental Telescopes Uwe Mohr
Fig. 70
Dental Telescopes Uwe Mohr
Fig. 71
Dental Telescopes Uwe Mohr
Fig. 72
Dental Telescopes Uwe Mohr
Fig. 73
Dental Telescopes Uwe Mohr
Fig. 74
Dental Telescopes Uwe Mohr
Fig. 75
Dental Telescopes Uwe Mohr
Fig. 76
Dental Telescopes Uwe Mohr
Fig. 77


Telescope-assisted combination and attachment cases

Telescopic structures can add an additional layer of stability and support in many situations. The telescopes are milled parallel with the path of insertion of the attachments and other milled construction elements.

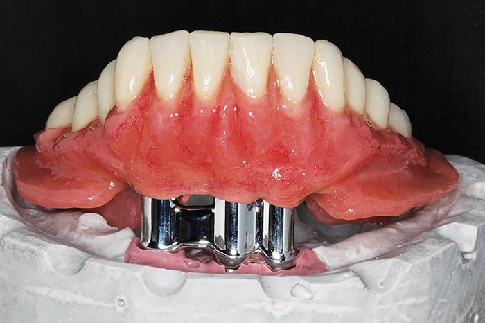
Zero-degree milled bar with locators and friction fit CAD/CAM-milled titanium superstructure: The milled bar and the superstructure are one telescope in function, providing friction fit and load distribution over the entire structure, preventing the locators from becoming load-bearing. The locators are strictly a retentive element, as they should be (Figs. 78 and 79).

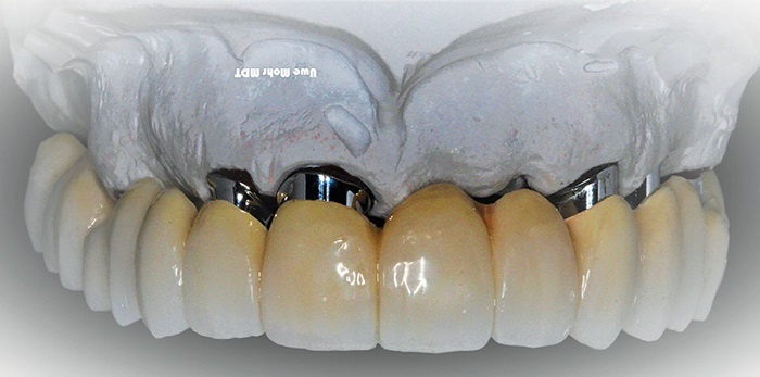
“Screwmented” telescopic implant bridge: The anterior implant abutments are telescopes; the distal implants are screw-receiving (Figs. 80–83).

Full analog workflow: Individual telescopes supporting attachments and zero-degree friction-fit shoulder attachments (Figs. 84–86). These are cast gold secondary telescopes welded into the cast partial frame. All the milling and path of insertion is parallel with the attachments.

Dental Telescopes Uwe Mohr
Fig. 78
Dental Telescopes Uwe Mohr
Fig. 79
Dental Telescopes Uwe Mohr
Fig. 80
Dental Telescopes Uwe Mohr
Fig. 81
Dental Telescopes Uwe Mohr
Fig. 82
Dental Telescopes Uwe Mohr
Fig. 83
Dental Telescopes Uwe Mohr
Fig. 84
Dental Telescopes Uwe Mohr
Fig. 85
Dental Telescopes Uwe Mohr
Fig. 86


Telescope seating procedures

The basic principle: The denture or superstructure is used to seat those primary telescopes that will be cemented home. Implant abutments can be seated as usual or with the help of the seating jig.

Only the primary copings get cemented; no cement or bonding agent should be used to hold the secondary copings or denture in place—this is 100% friction fit. Do not ever put cement into the secondary copings!

All primary copings get cemented simultaneously, then the denture is used to seat these home. Do not cement the primary copings separately; this will negatively affect the fit of the denture and it may never seat properly.

What you need to seat the telescopes: We use jacket grips or telescope pliers to remove the primary copings from the secondary frame to avoid damaging the margins. Only exert gentle force; too much can distort the secondary frame. There are many different-sized heads and shapes, preferably diamond-coated.

Sometimes during try-in, a primary telescope can be stuck in the superstructure and be fiddly to remove. Gently tap the superstructure with an instrument and the telescope should pop out.

Telescope preparation: In essence, a telescope is a double crown. You need 0.3–0.5mm for the primary coping, 0.5–1mm for the secondary coping, plus the veneering material on crowns. This dictates that the buccal of a natural tooth needs more prep than the lingual, similar to an E.max or all-ceramic crown.

Same considerations have to be taken into account in centric, vertical height and excursive. Ideally, you would use the reduction matrix from the diagnostic wax-up to guide you in the prep, approximate position and angle of insertion.

Try-in: Place the primary telescopes on the prep or implant. Verify using the seating jig provided. For crowns you can use a mixture of Vaseline and temp bond to hold them in position for the pickup impression.

Separately confirm the tooth setup and make all adjustments as needed. Verify bite, confirm with new CR registration. If there is a second try-in with the superstructure or frame, proceed as above for copings and abutments, then seat the denture or secondary frame over it.

Push the denture on to seat the primary telescopes home, then make all adjustments as needed. Verify bite, confirm with new CR registration.

Final insertion: First steps as above for frame/denture try-in. Remove from mouth, remove the primary copings from the denture using jacket grips, and thoroughly clean the telescopes and secondary frame.

Paint the intaglio of the secondary frame with Vaseline anywhere the frame might come into contact with your cement or bonding agent. The Vaseline will push any cement accidentally getting into the intaglio out and prevent it from sticking to the PEEK frame. Arrange your primary telescopes in seating sequence—you will need quick hands in a moment!

Fill primary telescopes with cement or bonding agent, place all telescopes on the prep and immediately place the secondary frame/denture over it and use the denture to seat the primary telescopes home. Apply gentle pressure until cement is cured.

Clean up as well as possible without removing the denture; only remove the denture when the cement is fully cured. Then clean up around preps and the denture itself; any cement debris will prevent the denture from seating.

Instruct the patient how to gently insert the denture until fully seated, and stress the point that he or she cannot “bite” the denture home, because this will damage the intaglio and lead to loss of friction fit. The patient should treat it like a denture: gentle in, gentle out. When removing it, it should be grabbed on both sides—never on one side only, which will tilt and lock the position.

Adjustments

As you will see in your first recall appointment, there will be slight dark marks in the intaglio of the secondary copings. These are minute, micron-sized metal marks. If the level of friction fit is fine, just ignore them.

Sometimes, especially with multiple primary copings, friction fit can be too high. This is caused by the number of copings and the added moistures/saliva, which increases friction.

This can easily be dialed in with the right tools and patience. Whatever you use for intraoral composite adjustments composite fillings or all-ceramic crowns will work. No diamonds, stones or carbides ever—no coarse polishers. Only use slow speed and medium- and high-shine tips. Never generate any heat, which can smudge or distort the PEEK.

Patience is the key virtue here. Dial in the minimum amount and preferably over several sessions. Once you remove too much, the friction fit in that area is gone. Best is to have an adjustment kit, which most dental suppliers sell.

Listen to Uwe Mohr’s Uncensored podcast

Discover more about—and from—Uwe Mohr on his Dentistry Uncensored podcast
with Dr. Howard Farran
. Click here to listen.


Author Bio
Uwe Mohr Uwe Mohr owns MDT Lab in Toronto, which specializes in advanced prosthodontic and aesthetic options. Born and raised in Germany, Mohr is the third generation in his family to work in dentistry. He earned a master’s degree in dental science and technology from the German Master Dental Technicians Guild in 1984, becoming the youngest master technician, then established and managed an international commercial dental lab in Singapore, where he also helped establish the nation’s dental technician curriculum and was liaison to Singapore University. Mohr has presented at meetings and study clubs, provided laboratory work to dentists and manufacturers, provided lectures and presentations across North America and participated in KOL meetings for dental manufacturers. Email: info@mdtlab.com
Sponsors
Townie Perks
Townie® Poll
Do you routinely screen adult patients for sleep-disordered breathing or obstructive sleep apnea?
  
The Dentaltown Team, Farran Media Support
Phone: +1-480-445-9710
Email: support@dentaltown.com
©2026 Dentaltown, a division of Farran Media • All Rights Reserved
9633 S. 48th Street Suite 200 • Phoenix, AZ 85044 • Phone:+1-480-598-0001 • Fax:+1-480-598-3450